Саморегулирующиеся брекеты
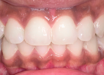
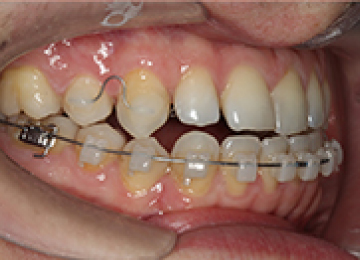
Саморегулирующиеся брекеты: фото До и После
Наши ортодонты
Цены на саморегулирующие брекеты
Ортодонтическая коррекция - Применение брекет-системы Carriere SLX 3D (брекеты и замки на одну челюсть)
от 50225 р.
Применение комбинированной самолигирующей брекет-системы керамические брекеты Damon Сlear 12 шт. + металлические брекеты Damon Q 8 шт (брекеты и замки на две челюсти)
от 128482 р.
Применение брекет-системы Н4 10 шт. (брекеты и замки на одну челюсть)
от 59862 р.
группа Вконтакте
канал в Телеграм





Семейная клиника
Клиника интегративной стоматологии