ЛИЦЕНЗИЯ Л041-01162-50-00367813 / Л041-01162-50-00360420
Copyright © 2025 Стоматологическая клиника "Интердентос"
Отдел качества: +7 495 104-42-00

Смолкина Марина Андреевна

Стоматолог / Ортодонт

Филиал: Клиника на Космонавтов, 37

Стаж (лет): 5

Специализация: врач-стоматолог-ортодонт

Учебное заведение: 2018г., "Московский государственный медико-стоматологический университет имени А.И. Евдокимова", Стоматология

Интернатура, ординатура: Ординатура ФГБУ ФНКЦ ФМБА России 107727 000640 №179 от 24 июля 2020 года протокол №19 ИА

Смолкина Марина Андреевна

Стоматолог / Ортодонт

Дополнительное образование:
2022 - Ортодонтия и дисфункция ВНЧС (Hi-OHi-S, Сергей Попов)
2022 - Цифровые функциональные протоколы в диагностике и планировании ортопедического лечения (DR.FRIDMAN SCHOOL)
2021 - XXI Съезд ортодонтов России
2021 - "Функциональная диагностика. Основа современного планирования ортопедического лечения" (курс Абросимова А.М.)
2021 - "Эффективная кондилография" Иван Макаревич
2021 - "Ортодонтия за пределами возможностей. Уникальный курс по минивинтам"
2020 - "Вертикальный подход к планированию и коррекции сагиттальных аномалий" Модульный лекционно-практический курс Анны Сергеевны Невдах "Ортогнатодонтия"
2019 - "Современный взгляд на ортодонтическое лечение детей" (Ortholight / Тарасова Яна)
2018 - Двухдневный семинар Алексея Ермакова "EVOLUTION" 8 ключей ортодонтического лечения.
2017 - Современные концепции лечения дисфункции ВНЧС.
2016 - Систематизированный подход к ортодонтическому лечению
Модульный лекционно-практический курс Анны Сергеевны Невдах "Ортогнатодонтия"

Сертификаты

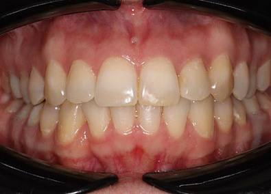
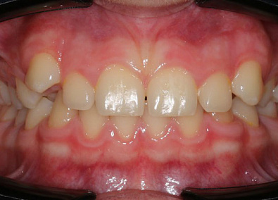
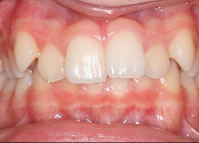
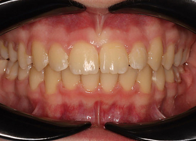
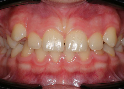
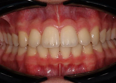
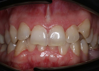
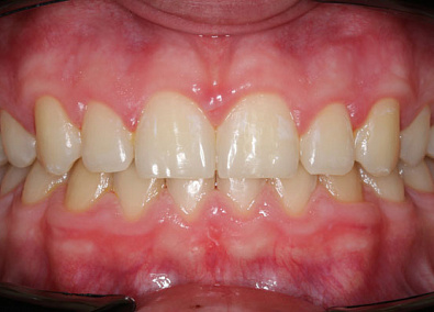
Примеры работ:

Отзывы наших пациентов:

Мне нужна была помощь с исправлением прикуса для моего сына. Марина Андреевна о…
Я ходила к Марине Андреевне на лечение дисфункции ВНЧС. У меня были проблемы с …
Марина Андреевна — настоящий мастер своего дела! Лечил у неё скученность зубов.…
Обратилась к Марине Андреевне с проблемой неправильного прикуса. Она предложила…