Лечение пульпита молочных зубов
Пульпит молочных зубов чаще всего выявляется в период от 3 до 6 лет, причём симптомы могут быть расплывчатыми, боль то появляться, то уходить, а сам пульпит переходить в хроническую форму, беспокоя ребенка время от времени, что чревато осложнениями и распространением инфекции вглубь тканей полости рта, вплоть до зачатков постоянных зубов.
Симптомы пульпита молочных зубов
Из-за особенностей строения молочных зубов, размеров каналов, структуры тканей вокруг зуба, боль может то уходить, то нарастать, быть плохо-локализованной для восприятия ребёнка. Основными симптомами, указывающими на то, что у ребенка может быть пульпит, следующие:
- может возникать отечность щеки, где расположен больной зуб
- болезненная реакция на холодную или горячую пищу и напитки
- слабость, вялость ребенка
- увеличение лимфоузлов
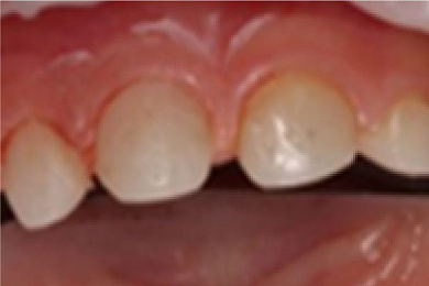
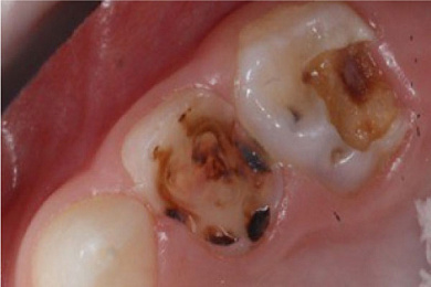
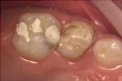
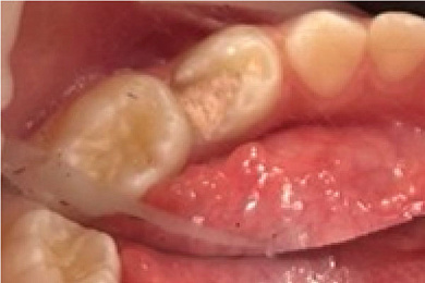
Примеры лечения зубов:
Статьи
Врачи направления:
Цены на лечение пульпита молочных зубов
Наши лицензии:

Консервативные и хирургические методы лечения пульпита молочных зубов
В зависимости от степени распространения воспаления, после проведения диагностики, врач может выполнить консервативное лечение, которое заключается в:
- препарирование кариозной полости
- удаление пораженных участков
- использование антисептических средств и лечебных паст
- восстановление зуба безопасными для детей, композитными материалами
Хирургическое лечение происходит уже с препарирование корневых каналов молочного зуба, удалением участков пульпы и последующим пломбированием каналов.
Необходимость лечения каналов молочных зубов у детей
В случае с молочными зубами, многие проблемы могут восприниматься без должного внимания, так как эти зубы всё равно выпадут, однако это неверно с точки зрения распространения инфекции на зачатки постоянных зубов. Кроме того, скрытые воспалительные процессы способны влиять на общий иммунитет ребёнка и его самочувствие. В совсем запущенных случаях, непролеченный пульпит может стать причиной тяжелых заболеваний:
- абцесс или свищ
- периодонтит
- частые нарушение сна и повышенная температура у ребенка
Врачи стоматологии "Интердентос" рекомендуют внимательно относится к жалобам ребёнка на боль в молочных зубах и регулярно проходить профилактические осмотры, ведь здоровье постоянных зубов в немалой степени зависит от предшествующих им - молочных зубов.
Отзывы наших пациентов:
Копылова Анастасия Владимировна очень хороший детский стоматолог, все делает очень аккуратно. Я боялась лечить зубы, благодаря Анастасии Владимировне – больше не боюсь. Огромное ей спасибо. От Барановской Виктории.



группа Вконтакте
канал в Телеграм



Семейная клиника
Клиника интегративной стоматологии
с 8:00 до 21:00, ежедневно