Ежедневно с 8:00 до 21:00

+7 (495) 151-05-51

ул. Лётная, 21/1

+7 (495) 989-72-72

ул Ак. Каргина, 21

+7 (495) 104-42-00

Отдел качества

+7 (495) 801-68-68

Общий телефон

+7 (495) 151-05-51

ул. Лётная, 21/1

+7 (495) 989-72-72

ул Ак. Каргина, 21

+7 (495) 104-42-00

Отдел качества

Ежедневно с 8:00 до 21:00

Взрослая стоматология
+7 (495) 801-68-68

Общий телефон

+7 (495) 151-05-51

ул. Лётная, 21/1

+7 (495) 989-72-72

ул Ак. Каргина, 21

+7 (495) 104-42-00

Отдел качества

Взрослая стоматология

Профессиональная гигиена полости рта

Ключ к здоровью и красоте зубов — не лечение, а профилактика, основанная на тщательной гигиене. Регулярная чистка, использование ополаскивателя и умеренное употребление вредных для эмали продуктов — залог того, что визиты к стоматологу будут редкими.

Не менее важно качество чистки. В домашних условиях сложно полностью удалить зубной налёт, поэтому стоит регулярно проходить профессиональную чистку у стоматолога-гигиениста. В клинике «Интердентос» в Мытищах эта процедура комфортна, приятна и безболезненна.

9 клиник

9 клиник

В 5 городах подмосковья:
Королёв, Мытищи, Щёлково, Пушкино и Балашиха.
с 1998 года

с 1998 года

Многолетний накопленный опыт и собственная научная база позволяет решать даже самые сложные случаи
250 тысяч пациентов

250 тысяч пациентов

Доверили нам своё здоровье.
80% из них
— пришли к нам по рекомендациям
-0

Как проводится профессиональная гигиена полости рта?

Чистка зубов отличается комфортабельностью для пациента и совершенно не вызывает никакого дискомфорта. Осуществляется она в несколько этапов:

  • При помощи специального ультразвукового скайлера бережно удаляются крупные зубные камни: это происходит при помощи создаваемых скайлером колебаний, который буквально «сбивает» каждый камень.
  • Затем проводится удаление мягкого налёта аэрозольным методом: зубы обрабатываются составом: вода с мельчайшими абразивными частицами бережно очищает поверхность зубов от налёта. Благодаря этой процедуре зубы становятся светлее сразу на 1-2 тона.
  • Чтобы устранить повышенную чувствительность зубов, стоматолог покрывает их поверхность специальным лаком или гелем с повышенным содержанием фтора.

Быстрая запись на приём

Оставьте номер телефона и администратор перезвонит Вам в течение 5 минут.

img

Спасибо!

Наши специалисты свяжутся с вами в ближайшее время.

Ежедневно с 8:00 до 21:00

+7 (495) 801-68-68

Общий телефон

+7 (495) 151-05-51

ул. Лётная, 21/1

+7 (495) 989-72-72

ул Ак. Каргина, 21

+7 (495) 104-42-00

Отдел качества

Услуги

Услуги

Врачи гигиенисты

Все врачи

Цены на гигиену полости рта

Все цены

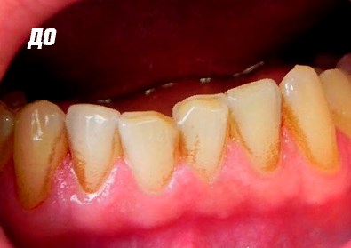
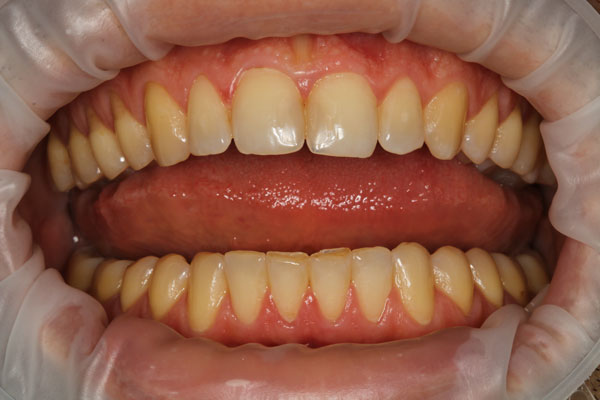
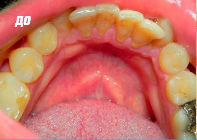
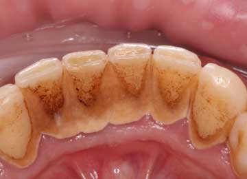
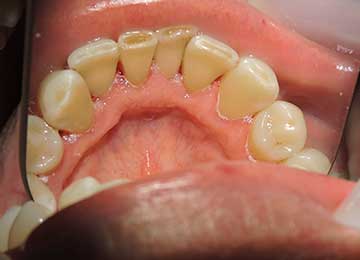
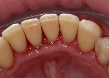
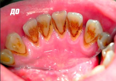
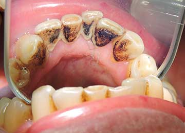
Гигиена полости рта - Фото До и После

Фото ДО
Фото ПОСЛЕ

Наведите для просмотра

Гигиена полости рта

Фото ДО
Фото ПОСЛЕ

Наведите для просмотра

Гигиена полости рта

Фото ДО
Фото ПОСЛЕ

Наведите для просмотра

Гигиена полости рта

Фото ДО
Фото ПОСЛЕ

Наведите для просмотра

Гигиена полости рта

Фото ДО
Фото ПОСЛЕ

Наведите для просмотра

Гигиена полости рта

Фото ДО
Фото ПОСЛЕ

Наведите для просмотра

Гигиена полости рта

Фото ДО
Фото ПОСЛЕ

Наведите для просмотра

Гигиена полости рта

Фото ДО
Фото ПОСЛЕ

Наведите для просмотра

Гигиена полости рта

Фото ДО
Фото ПОСЛЕ

Наведите для просмотра

Гигиена полости рта

Фото ДО
Фото ПОСЛЕ

Наведите для просмотра

Гигиена полости рта

Фото ДО
Фото ПОСЛЕ

Наведите для просмотра

Гигиена полости рта

Наши клиники

Клиника Интегративной Стоматологии

Клиника в г. Мытищи, ул. Ак.Каргина

Наши лицензии

Лечение проводится на основании действующих медицинских лицензий Л041-01162-50/00360420 и Л041-01162-50/00367813. Это гарантирует, что все процедуры — от диагностики до реставрации — выполняются безопасно, с использованием сертифицированных материалов и оборудования, в строгом соответствии с российскими стандартами.

Л041-01162-50/00360420 Л041-01162-50/00360420

Открыть PDF
Л041-01162-50/00367813-1 Л041-01162-50/00367813

Л041-01162-50/00367813-2 Л041-01162-50/00367813

Л041-01162-50/00367813-3 Л041-01162-50/00367813

Л041-01162-50/00367813-4 Л041-01162-50/00367813

Л041-01162-50/00367813-5 Л041-01162-50/00367813

Л041-01162-50/00367813-6 Л041-01162-50/00367813

Л041-01162-50/00367813-7 Л041-01162-50/00367813

Л041-01162-50/00367813-8 Л041-01162-50/00367813

Л041-01162-50/00367813 Л041-01162-50/00367813

Открыть PDF

Для чего нужна профессиональная гигиена

Нередко даже при хорошей гигиене полости рта на зубах образуется мягкий налёт, который в дальнейшем покрывает весь зуб и начинает отвердевать, постепенно превращаясь в зубной камень, который может провоцировать многие заболевания зубного ряда некариозного характера.

Профессиональная гигиена полости рта необходима не только для профилактики образования зубного камня, но и перед любым стоматологическим лечением:

  • перед протезированием: профессиональная чистка зубов позволяет избежать покрытия протеза микробным налётом, что продляет срок его службы;
  • при лечении заболеваний дёсен: профессиональная гигиена зубов помогает бороться с отложениями на эмали, противостоит осложнениям при лечении пародонтоза;
  • при лечении кариеса: удаление налёта облегчает доступ к тканям, поражённым кариесом, упрощает процесс лечения и делает гораздо более эффективным использование современных реставрационных материалов.

Профессиональная чистка зубов должна проводиться раз в 6-12 месяцев, иногда – 1 раз в 2 года. Это значительно облегчит работу стоматологов, а возможно, и избавит от необходимости лечения, поскольку процедура является мощным профилактическим мероприятием.

Дополнительная забота

В качестве дополнительного метода противостояния кариесу и прочим заболеваниям полости рта можно применять ремтерапию. Это особая процедура, которую можно не только провести в кабинете у стоматолога, но и дома: для этого потребуется приобрести специальный набор в линике «Интердентос» в Мытищах и выполнить обработку зубов по инструкции в упаковке набора.

Реминерализация, или ремтерапия, представляет собой обработку поверхности зубов специальными составами, обогащёнными фосфором и кальцием, которые укрепляют зубную эмаль и эффективно противостоят её разрушению.

Показания для реминерализации зубной эмали

Реминерализация является совершенно безболезненной и даже приятной процедурой, которую, кроме того, можно проводить в дома. Она рекомендуется в следующих случаях:

  • при лечении кариеса (позволяет продлить срок службы пломб);
  • для профилактики появления кариеса (благодаря реминерализации повышается устойчивость эмали к разрушению);
  • после процедуры отбеливания зубов (эмаль становится более прочной);
  • при повышенной чувствительности зубов: реминералиация помогает укрепить эмаль и, как следствие, чувствительность значительно снижается.

Процедура совершенно безопасна, а потому её рекомендуют и взрослым, и даже детям, у которых эмаль молочных зубов незрелая и очень хрупкая.

В медицинском центре «Интердентос» в Мытищах вы всегда получите квалифицированную помощь профессиональных стоматологов-гигиенистов. Мы гарантируем великолепное качество работы и доступную стоимость услуг!

Консилиум врачей в подарок Получить подарок