Ежедневно с 8:00 до 21:00

+7 (495) 151-05-51

ул. Лётная, 21/1

+7 (495) 989-72-72

ул Ак. Каргина, 21

+7 (495) 104-42-00

Отдел качества

+7 (495) 801-68-68

Общий телефон

+7 (495) 151-05-51

ул. Лётная, 21/1

+7 (495) 989-72-72

ул Ак. Каргина, 21

+7 (495) 104-42-00

Отдел качества

Ежедневно с 8:00 до 21:00

Взрослая стоматология
+7 (495) 801-68-68

Общий телефон

+7 (495) 151-05-51

ул. Лётная, 21/1

+7 (495) 989-72-72

ул Ак. Каргина, 21

+7 (495) 104-42-00

Отдел качества

Взрослая стоматология

Коронки на зубы

Коронка на зуб — стоматологическая конструкция в виде колпачка, позволяющая улучшить эстетику зубного ряда, восстановить жевание и предотвратить заболевания здоровых зубов.

Если один или несколько зубов поражены кариесом, пострадали в результате травмы или поражены другими заболеваниями, обращайтесь в стоматологическую клинику «Интердентос» в Мытищах. Мы устанавливаем практичные коронки из легких, адаптированных к человеческому организму, материалов. Современные материалы можно подбирать по оттенкам, совпадающим с натуральными зубами, и это большой плюс съемного и несъемного протезирования.

9 клиник

9 клиник

В 5 городах подмосковья:
Королёв, Мытищи, Щёлково, Пушкино и Балашиха.
с 1998 года

с 1998 года

Многолетний накопленный опыт и собственная научная база позволяет решать даже самые сложные случаи
250 тысяч пациентов

250 тысяч пациентов

Доверили нам своё здоровье.
80% из них
— пришли к нам по рекомендациям
-0

Поддержка зубов защитит весь организм!

В клинике применяются различные методы имплантации и несъемного протезирования зубов. Мы работаем с полностью или частично разрушенными зубами, способны восстанавливать от одного зуба до полной адентии. В каждом случае применяются коронки от мировых лидеров - производителей материалов протезирования, с гарантией результата (керамика, металлокерамика, диоксид циркония, композиты, акрил/нейлон, пластмасса).

Отсутствие зубов, особенно длительное, влияет не только на красоту улыбки, но и на распределение нагрузки на челюсти в процессе жевания. При неравномерности нагрузки появляются дискомфортные состояния, страдает желудочно-кишечный тракт. Патологическое влияние оказывает отсутствие зубов и на здоровые единицы — корни начинают перемещаться в сторону образованных пустот, истончается костная ткань. На оставшиеся зубы приходится больше нагрузки, что приведет к дополнительным рискам для заболеваний в ротовой полости.

Восстановление зубов коронками позволяет защитить зубы, избавиться от негативных факторов. Протезирование поможет справиться с врожденными аномалиями, неровными зубами, выровнять прикус и устранить другие недостатки. Вы сможете вернуться к повседневной жизни без сложностей с жеванием.

Запишитесь на осмотр в нашу стоматологическую клинику в Мытищах - специалисты назначат обследование, проведут диагностику, расскажут какими способами можно восстановить зубочелюстную систему, сколько стоит протезирование.

Быстрая запись на приём

Оставьте номер телефона и администратор перезвонит Вам в течение 5 минут.

img

Спасибо!

Наши специалисты свяжутся с вами в ближайшее время.

Ежедневно с 8:00 до 21:00

+7 (495) 801-68-68

Общий телефон

+7 (495) 151-05-51

ул. Лётная, 21/1

+7 (495) 989-72-72

ул Ак. Каргина, 21

+7 (495) 104-42-00

Отдел качества

Услуги

Услуги

Врачи направления

Все врачи

Цены на зубные коронки

Все цены

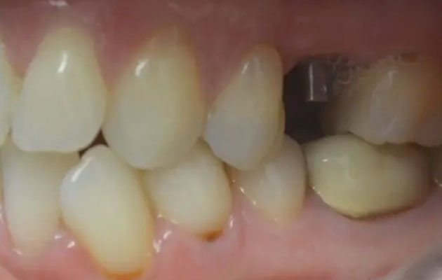
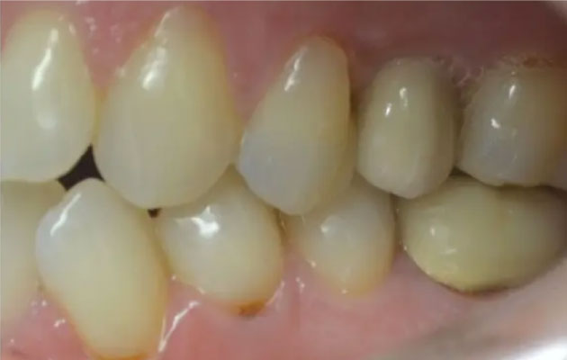
Коронки на зубы: фото До и После

Фото ДО
Фото ПОСЛЕ

Наведите для просмотра

Коронка на имплант

Фото ДО
Фото ПОСЛЕ

Наведите для просмотра

Циркониевые коронки

Фото ДО
Фото ПОСЛЕ

Наведите для просмотра

Керамические коронки

Фото ДО
Фото ПОСЛЕ

Наведите для просмотра

Коронки

Наши клиники

Клиника Интегративной Стоматологии

Клиника в г. Мытищи, ул. Ак.Каргина

Наши лицензии

Лечение проводится на основании действующих медицинских лицензий Л041-01162-50/00360420 и Л041-01162-50/00367813. Это гарантирует, что все процедуры — от диагностики до реставрации — выполняются безопасно, с использованием сертифицированных материалов и оборудования, в строгом соответствии с российскими стандартами.

Л041-01162-50/00360420 Л041-01162-50/00360420

Открыть PDF
Л041-01162-50/00367813-1 Л041-01162-50/00367813

Л041-01162-50/00367813-2 Л041-01162-50/00367813

Л041-01162-50/00367813-3 Л041-01162-50/00367813

Л041-01162-50/00367813-4 Л041-01162-50/00367813

Л041-01162-50/00367813-5 Л041-01162-50/00367813

Л041-01162-50/00367813-6 Л041-01162-50/00367813

Л041-01162-50/00367813-7 Л041-01162-50/00367813

Л041-01162-50/00367813-8 Л041-01162-50/00367813

Л041-01162-50/00367813 Л041-01162-50/00367813

Открыть PDF

Где используются коронки в протезировании

Для восстановления зуба существует несколько видов несъемных протезов с зубными коронками. Чаще всего это импланты, мостовидные протезы, коронки на 1 зуб. Выбор коронок проводится индивидуально, с учетом особенностей зубной челюсти пациента и общего состояния здоровья. Важно объективно оценить состояние здоровья соседних зубов, которые могут использоваться как опоры. Также в результате осмотре выявляется состояние десен и слизистых, наличие кариеса на зубах, наличие нефункциональных зубов и корней.

Так как среди разнообразия материалов можно найти продукты по разным ценам, отличающимся в раз, ортопед представляет пациенту варианты зубных коронок. Конечный выбор делает пациент с учетом материальных возможностей.

Существуют съемные и несъемные протезы. Коронки чаще используются в несъемном протезировании. В случае съемных протезов речь идет об искусственных зубах, замещающих удаленные единицы. Чаще всего они изготавливаются из акрила и пластмассы, акрилсодержащих компонентов, нейлона. Съемные протезы могут быть частичными и полными, то есть замещающими один или несколько зубов, а также все зубы при полной адентии.

Виды конструкций несъемного протезирования

Мост, или мостовидный протез

Мостовидные протезы представляют собой несколько соединенных коронок подряд, и предназначены для протезирования одного, двух, и, очень редко, трех зубов. Мосты в полной мере восстанавливают функциональность жевания, эстетичный вид. По краям зубные коронки крепятся на здоровые зубы или импланты. При этом зуб потребует обточки для фиксации на опоре. Внешне коронки не отличаются от естественных зубов. Мы предлагаем мосты из керамики, металлокерамические коронки, по желанию — индивидуально может изготавливаться золотой протез.

Импланты

Имплантация позволяет восстановить зубы даже при отсутствии опор. Наиболее устойчивый вариант протезирования предполагает внедрение искусственного, преимущественно, титанового, корня, который представляет опору для последующей нагрузки коронкой через абатмент (искусственную основу зуба).

Импланты создают максимально надежное крепление и служат пожизненно. Производители дают на них пожизненную гарантию. На них ставят как мосты, так и полные несъемные протезы, временные и постоянные коронки. Эффективность протезирования на имплантах максимальная, но потратиться придется не только средствами, но и временем.

Виниры

Это накладки для зубов, которые можно рассматривать, как неполные зубные коронки. Тонкая стеночка фиксируется на поверхности передних зубов, для восстановления зубов с внешней стороны фронтальной зоны. Виниры изготавливают из самой изысканной керамики или композитных материалов. Степень препарирования зуба — минимальное.

Вкладки и накладки

Микропротезы подобного типа восстанавливают частично разрушенный зуб. Вкладки вставляют внутрь зуба, а накладки на внешнюю часть.

Структура зубной коронки

Зубная коронка охватывает зуб со всех сторон, анатомически повторяя форму зуба. Интересно, что коронки устанавливают взрослым и детям на молочные зубы. В качестве креплений используется стоматологический цемент или винтовой фиксатор. Несъемный протез или коронку снимает только врач стоматолог в условиях клиники. К сожалению, чаще всего придется либо переделывать зубную коронку, либо изготавливать новый протез.

Коронки устанавливают на естественный зуб, либо на абатмент, прикрепленный к импланту. В первом случае необходимо обтачивать зуб, чтобы уместить коронку в заданные параметры.

Какие бывают коронки:

  • Полная коронка закрывает весь зуб, частичная — часть зуба. Частичные коронки используют реже, например, когда нужно защитить зубы с боков. Также существуют трехчетвертные коронки, частично закрывающие боковые зубы на три четверти у корня зуба. Полукоронки защищают зуб со стороны языка и слизистой.
  • Коренные зубы можно реставрировать с передней стороны и с боков, это тип трехчетвертных коронок.
  • Фронтальную зону закрывают панцирными конструкциями.

Преимущество частичных коронок — меньшая необходимость в обточке зуба. Сложность работы делает этот способ восстановления зубов более дорогим.

Как проводится изготовление и фиксация коронки

Всем этапам протезирования зубными коронками необходимо отдавать должное внимание.

На первом приеме врач осмотрит полость рта, определит возможность установки коронки и составит план лечения зубов, включающий:

  • подготовку полости рта для внедрения импланта (если нужно);
  • лечения слизистой и десен;
  • устранение кариеса;
  • выбор материалов;
  • изготовления коронки в нашей зуботехнической лаборатории;
  • подгонки на месте и фиксации.

Иногда необходимо обработать десна и челюсть для создания предпосылок адгезии коронки.

Особенности установки коронок

Сколько времени на лечение

Установка коронок — процесс длительный. Необходимо определить патологию, исключить противопоказания, правильно подобрать материалы и методы, пролечить естественные зубы.

Если зубная коронка ставится на имплант, время имплантации значительно увеличивает сроки протезирования. На это может понадобиться от нескольких недель до нескольких месяцев.

Когда используется

  • Коронки спасают при разрушении зуба от естественных заболеваний или в результате травмы, особенно, когда есть патологии каналов, удалены корни и т.д.
  • Есть желание улучшить эстетику улыбки и восстановить правильное произношение звуков.

Сколько времени занимает процедура установки коронки

Все зависит от сложности протеза и типа его изготовления. Может понадобиться одно, два или три посещения.

Нужна ли анестезия

Для обезболивания в полости рта вводится местная анестезия, с учетом особенностей пациента и противопоказаний. Весь процесс установки коронки проходит безболезненно. Не стесняйтесь задавать вопросы стоматологу, говорить о своих потребностях и финансовых возможностях.

Этапы установки коронки

  • Первый прием, обследование и терапия. Специалист осмотрит рот направит на рентгеновский снимок, при необходимости проведет компьютерную томографию для точной установки диагноза. Далее необходимо пролечить полость рта, исключить кариес, острые заболевания десен и слизистых, почистить каналы, удалить лишние корни. Лечение зубов может занять значительное время. Проводится профессиональная чистка зубов.
  • Зуб готовится для установки коронки — препарируется. Обтачивание проводится в зависимости от типа коронки и места установки. Если необходимо укрепить корень, может устанавливаться штифт и культевая накладка. Все манипуляции мы проводим с анестезией, чтобы пациент не чувствовал боли.
  • Снятие слепков. Мы используем для обработки данных цифровые компьютерные системы CAD/CAM, позволяющие получать самые точные параметры коронок, повторяющие очертания зуба. В ротовую полость помещают камеру для фиксации показаний, которые затем обрабатываются на компьютере и создается цифровая модель коронок. Данные передаются на фрезеровочный станок. Коронки также могут выполняться методом отлива.
  • Установка коронки временной (из композита или легкой пластмассы) применяется при имплантации в несколько этапов. Такие коронки могут носиться от нескольких недель до нескольких месяцев.
  • Постоянные коронки изготавливают из более прочных и долговечных материалов (металлокерамики, диоксида циркония, керамики). Установка постоянной коронки выполняется после подгонки готовой коронки на месте, чтобы пациент не чувствовал дискомфорта.

Показания и противопоказания

Незначительные повреждения зуба можно восстановить с помощью пломбирования. Если зуб поврежден от 50 до 75 процентов, его можно восстановить и защитить с помощью коронки. Среди повреждений врачи отмечаю кариес, травматический слом, трещины, повышенная стертость эмали, стираемость в результате бруксизма, неправильный прикус.

Кроме того, показаниями для установки коронок служат аномальные формы зубов, ухудшающие внешний вид улыбки, изменение оттенка из-за флюороза или гибели нерва. Коронки способствуют улучшению внешнего вида зубов при наличии шиповидных форм или слияния соседних единиц. Часто их применяют для укрепления зуба после эндодонтического лечения и подготовки к установке брекетов или иных устройств для исправления прикуса.

Противопоказания

Перед назначением процедуры протезирования врач проводит тщательное обследование организма пациента на наличие возможных ограничений. К относительным противопоказаниям относятся ситуации, которые могут быть устранены в течение некоторого времени.

  • беременность и период лактации;
  • кистозные образования, гранулёмы или свищи возле корней зубов;
  • заболевания корневых каналов;
  • образование зубного камня;
  • подвижность зубов начиная с третьей степени;
  • острые инфекции с подъёмом температуры тела.

Абсолютными противопоказаниями к установке коронки могут являться тяжёлые психоэмоциональные расстройства, затрудняющие коммуникацию врача с пациентом, а также отсутствие потребности препарирования здоровых зубов в целях фиксации протеза.

Стоматологи также учитывают патологии челюстных структур, когда пациент страдает деформацией кости, при которой затруднена установка протеза.

Рекомендуем вам информировать врача о наличии аллергии на материалы изготовления коронки, чтобы упростить процедуру.

Лучшие материалы для установки зубных коронок

Существуют временные коронки и постоянные. Для их изготовления применяют разные материалы. Для временных коронок чаще используют акрил или легкие пластмассы, более мягкий нейлон. Они предназначены исключительно для краткосрочного использования, например, при процессе остеоинтеграции импланта, и имеют меньшую долговечность. Через несколько месяцев их снимают для установки постоянного протеза.

Современные постоянные конструкции создаются из разных материалов:

Металлокерамические коронки

Внутренняя металлическая основа покрыта слоем керамики для улучшения внешнего вида. Применяется кобальт-хромовая смесь для естественных зубов и титан для имплантатов. Отличаются прочностью, особенно полезны для жевания, но требуют большего объёма препарирования тканей зуба. Могут проявляться проблемы типа тёмного края у десны и риска возникновения гальваноза.

Главный недостаток металлокерамических коронок --- возможная аллергия на металл, специфический вкус металла во рту. Также недостатком является большой объем стачиваемой зоны при препарировании зуба. Срок службы металлокерамики -- до 20 лет, чаще всего их устанавливают на жевательные зубы.

Обо всех достоинствах и недостатках металлокерамики врач информирует пациента на приеме и при принятии решения о выборе материалов.

Диоксид циркония

Прочные белые коронки, используемые как самостоятельно, так и облицованные керамикой для достижения естественного цвета. Обладают высокой совместимостью с тканями организма, быстро изготавливаются. Их возможно устанавливать за одно посещение врача. Коронки из диоксида циркония образуют белоснежный свет голливудской улыбки, что во многих случаях указывает на их искусственное, но дорогое происхождение.

Керамокомпозит

Керамокомпозит -- также материал с металлической основой. Верхнее покрытие состоит из керомера -- материала, представляющего собой смесь композитных и керамических ингредиентов. Керомер считается доступным, простым. Физические его качества - прочность, легкость и приятный внешний вид.

Стеклокерамика E-max

Инновационный материал из литой или прессованной стеклокерамики IPS E.max изготовленной с применением дисиликата лития и имеющей максимально реалистичный оттенок. Стеклокерамика -- одно из лучших безметалловых соединений, в отличие от металлокерамических коронок имеет абсолютную с биологической совместимостью с естественными тканями ротовой полости. Выбирая коронки, стоматолог учитывает особенности расположения зуба, бюджет пациента и его индивидуальные предпочтения в сфере комфорта и эстетики.

Важная особенность: при наличии металлических имплантов керамика Е-макс не используется, это считается единственным минусом этого инновационного материала.

Способы крепления коронок

  • Стоматологический цемент. Позволяет закрепить несъемные конструкции. Снимать коронки, зафиксированные на стоматологическом цементе, сложно. Из распиливают, и впоследствии придется изготовит готовые конструкции.
  • Винтовые приспособления. Такие модели устанавливают на импланты, преимущественно на абатмент. Коронки легко снимать и можно снова присоединять в зубочелюстную систему.

Все пациенты стоматологической клиники «Интердентос» получают квалифицированную стоматологическую помощь в нашей клинике, восстанавливают возможность нормального жевания и эстетику, что в целом поддерживает состояние здоровье и хорошее настроение. Также мы проводим последующий профессиональный уход -- чистку зубов, ремонт коронок и т.д. Сколько стоят коронки и какие варианты лучше для вашей клинической картины можно узнать только после осмотра врача.

Запишитесь на первый прием по нашим телефонам.

Консилиум врачей в подарок Получить подарок