Ежедневно с 8:00 до 21:00

+7 (495) 151-05-51

ул. Лётная, 21/1

+7 (495) 989-72-72

ул Ак. Каргина, 21

+7 (495) 104-42-00

Отдел качества

+7 (495) 801-68-68

Общий телефон

+7 (495) 151-05-51

ул. Лётная, 21/1

+7 (495) 989-72-72

ул Ак. Каргина, 21

+7 (495) 104-42-00

Отдел качества

Ежедневно с 8:00 до 21:00

Взрослая стоматология
+7 (495) 801-68-68

Общий телефон

+7 (495) 151-05-51

ул. Лётная, 21/1

+7 (495) 989-72-72

ул Ак. Каргина, 21

+7 (495) 104-42-00

Отдел качества

Взрослая стоматология

Лечение кариеса

Кариес – это самое распространённое заболевание зубов во всём мире. Стоматологи клиники «Интердентос» в Мытищах профессионально решат проблему кариеса в самые короткие сроки и помогут избавиться от поражений, сохранив здоровье и красоту зубов.

9 клиник

9 клиник

В 5 городах подмосковья:
Королёв, Мытищи, Щёлково, Пушкино и Балашиха.
с 1998 года

с 1998 года

Многолетний накопленный опыт и собственная научная база позволяет решать даже самые сложные случаи
250 тысяч пациентов

250 тысяч пациентов

Доверили нам своё здоровье.
80% из них
— пришли к нам по рекомендациям
-0

Как происходит лечение кариеса?

Кариес бывает неосложнённым (поражается только поверхность зуба) и осложнённым (в этом случае возникает пульпит и прочие подобные осложнения), а значит, и методик лечения существует две:

  • санация кариозных полостей (поражённые ткани удаляются, а зуб реставрируется);
  • эндодонтическое лечение (предполагает также проведение специальной противовоспалительной терапии).

Обычно, лечение неосложнённого кариеса включает в себя несколько этапов:

  • Проводится предварительная подготовка: зуб очищается от налёта, шлифуется, устраняется вероятность попадания к зубу слюны.
  • Эмаль обрабатывается и покрывается адгезивным составом, который способствует лучшему «приживанию» пломбы.
  • Восстанавливается жевательная часть зуба при помощи пломбы из светоотвердевающего композита или специальной керамической накладки, более долговечной и прочной.

В клинике «Интердентос» в Мытищах лечение кариеса и восстановление зуба может занимать от одного сеанса (всё зависит от сложности проблемы). Лечение проводится под местной анестезией. Дополнительно полость рта обрабатывается бактерицидными препаратами, которые исключают риск развития вторичного кариеса.

Быстрая запись на приём

Оставьте номер телефона и администратор перезвонит Вам в течение 5 минут.

img

Спасибо!

Наши специалисты свяжутся с вами в ближайшее время.

Ежедневно с 8:00 до 21:00

+7 (495) 801-68-68

Общий телефон

+7 (495) 151-05-51

ул. Лётная, 21/1

+7 (495) 989-72-72

ул Ак. Каргина, 21

+7 (495) 104-42-00

Отдел качества

Услуги

Услуги

Услуги

Врачи направления

Все врачи

Наше оборудование

Дентальный микроскоп

Дентальный микроскоп

Использование ультрасовременных дентальных микроскопов создает уникальные возможности для спасения «безнадежных зубов». Микроскопы:  Advanced,  Karl Kaps,  Carl Zeiss EXTARO 300, Prima D с вариоскопом.
3D томограф Galileos

3D томограф Galileos

Охватывает всю зубочелюстную систему, включая пазухи. А благодаря 3D-моделированию аппарат  позволяет повысить диагностическую точность и виртуально спланировать наиболее эффективное лечение.
Дентальный компьютерный томограф Planmeca ProMax

Дентальный компьютерный томограф Planmeca ProMax

Уникальный компьютерный томограф для качественной диагностики  и планирования лечения
Sleeper One - электронная система анестезии

Sleeper One - электронная система анестезии

Система анестезии нового поколения, объём, скорость и давление подачи препарата контролируется электронной системой. Специальные иглы обеспечивают безболезненность и снижают травматичность тканей.
ICON - лечение кариеса без препарирования

ICON - лечение кариеса без препарирования

ICON - специальный препарат в виде геля, который наносится на участок зуба и глубоко проникает в его ткани, уничтожая кариозные образования и укрепляя ткани зуба.
SAF - революция в лечении зубных каналов

SAF - революция в лечении зубных каналов

Самоадаптирующийся файл из сплава никеля и титана - эффективен в самых сложных случаях лечения каналов, максимально сохраняет здоровые ткани и форму каналов.
Стоматологическая установка DENTSPLY SIRONA

Стоматологическая установка DENTSPLY SIRONA

Признаны стоматологами во всём мире, как наиболее совершенные и комфортные, обладающие передовыми характеристиками. Обладают наградами iF Design Gold Award и German Design Award.
Интраоральный 3D-сканер

Интраоральный 3D-сканер

3D-сканирование можно назвать новым стандартом в стоматологической практике, который становится всё более распространенным. 3D-сканер позволяет достичь высочайшей точности и качества в протезировании.

Цены на лечение кариеса в Мытищах

Все цены

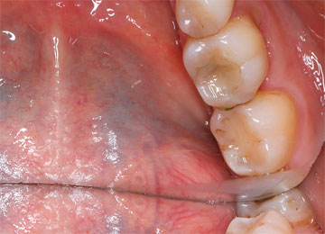
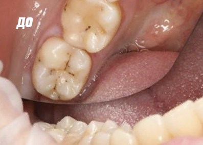
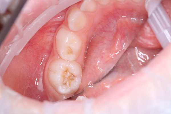
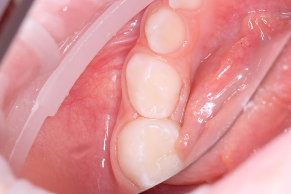
Лечение кариеса: фото До и После

Фото ДО
Фото ПОСЛЕ

Наведите для просмотра

Лечение кариеса

Фото ДО
Фото ПОСЛЕ

Наведите для просмотра

Лечение кариеса

Фото ДО
Фото ПОСЛЕ

Наведите для просмотра

Лечение кариеса

Фото ДО
Фото ПОСЛЕ

Наведите для просмотра

Лечение кариеса

Фото ДО
Фото ПОСЛЕ

Наведите для просмотра

Лечение кариеса

Фото ДО
Фото ПОСЛЕ

Наведите для просмотра

Лечение кариеса

Фото ДО
Фото ПОСЛЕ

Наведите для просмотра

Лечение кариеса

Фото ДО
Фото ПОСЛЕ

Наведите для просмотра

Лечение кариеса

Фото ДО
Фото ПОСЛЕ

Наведите для просмотра

Лечение кариеса

Наши клиники

Клиника Интегративной Стоматологии

Клиника в г. Мытищи, ул. Ак.Каргина

Наши лицензии

Лечение проводится на основании действующих медицинских лицензий Л041-01162-50/00360420 и Л041-01162-50/00367813. Это гарантирует, что все процедуры — от диагностики до реставрации — выполняются безопасно, с использованием сертифицированных материалов и оборудования, в строгом соответствии с российскими стандартами.

Л041-01162-50/00360420 Л041-01162-50/00360420

Открыть PDF
Л041-01162-50/00367813-1 Л041-01162-50/00367813

Л041-01162-50/00367813-2 Л041-01162-50/00367813

Л041-01162-50/00367813-3 Л041-01162-50/00367813

Л041-01162-50/00367813-4 Л041-01162-50/00367813

Л041-01162-50/00367813-5 Л041-01162-50/00367813

Л041-01162-50/00367813-6 Л041-01162-50/00367813

Л041-01162-50/00367813-7 Л041-01162-50/00367813

Л041-01162-50/00367813-8 Л041-01162-50/00367813

Л041-01162-50/00367813 Л041-01162-50/00367813

Открыть PDF

Что такое кариес?

Кариес – это бактериальное поражение поверхности зуба, которое приводит к разрушению эмали. Кариес проникает внутрь зуба, разрушая его, поражает не только эмаль, но и ткани зуба, а в особо запущенных случаях поражает ещё и пульпу, вызывая соответствующее заболевание – пульпит, а также периодонтит.

Долгое время кариес развивается бессимптомно, а его единственным признаком становится появление небольшого пятнышка на эмали, чуть более тёмного, чем вся поверхность зуба. Однако даже на ранних стадиях кариес необходимо устранять, чтобы болезнь не получила развития, а зуб не оказался разрушенным.

Опытные стоматологи нашей клиники не просто производят лечение кариеса, но и рассказывают, как избежать поражения зубов в дальнейшем: для этого необходимо тщательно соблюдать гигиену полости рта и регулярно проводить профилактику кариеса у стоматолога.

Консилиум врачей в подарок Получить подарок