Ежедневно с 8:00 до 21:00

+7 (495) 151-05-51

ул. Лётная, 21/1

+7 (495) 989-72-72

ул Ак. Каргина, 21

+7 (495) 104-42-00

Отдел качества

+7 (495) 801-68-68

Общий телефон

+7 (495) 151-05-51

ул. Лётная, 21/1

+7 (495) 989-72-72

ул Ак. Каргина, 21

+7 (495) 104-42-00

Отдел качества

Ежедневно с 8:00 до 21:00

Взрослая стоматология
+7 (495) 801-68-68

Общий телефон

+7 (495) 151-05-51

ул. Лётная, 21/1

+7 (495) 989-72-72

ул Ак. Каргина, 21

+7 (495) 104-42-00

Отдел качества

Взрослая стоматология

Несъемное протезирование зубов

Несъемное протезирование зубов позволяют восстановить эстетичность и функциональность зубного ряда. Клиника стоматологии «Интердентос» приглашает пациентов для установки несъемных протезов с надежной фиксацией в ротовой полости.

9 клиник

9 клиник

В 5 городах подмосковья:
Королёв, Мытищи, Щёлково, Пушкино и Балашиха.
с 1998 года

с 1998 года

Многолетний накопленный опыт и собственная научная база позволяет решать даже самые сложные случаи
250 тысяч пациентов

250 тысяч пациентов

Доверили нам своё здоровье.
80% из них
— пришли к нам по рекомендациям
-0

Такие конструкции долговечны и комфортны, имеют высокие показатели прочности, не вызывают аллергии, неприхотливы в использовании. После установки несъемного зубного протеза пациент может пережевывать любую пищу, мягкую и твердую, восстановить дикцию и эстетичность улыбки.

  • Искусственные зубы обладают всеми свойствами естественных и практически не отличаются внешне.
  • Спустя неделю после установки пациент забывает об искусственном происхождении зубов.

Коррекция зубных рядов проводится при любом количестве отсутствующих зубов, от одного-двух, до полной адентии. Тип протезирования подбирается индивидуально, после консультации с хирургом-стоматологом.

Запишитесь на прием к стоматологу в клинику «Интердентос» на диагностику, и узнайте стоимость несъемного зубного протеза для вашего случая. Администратор запишет вас на удобное время, а профессионалы проведут полноценный осмотр, оценят недостатки вашего зубного ряда и составят план восстановления зубов.

Быстрая запись на приём

Оставьте номер телефона и администратор перезвонит Вам в течение 5 минут.

img

Спасибо!

Наши специалисты свяжутся с вами в ближайшее время.

Ежедневно с 8:00 до 21:00

+7 (495) 801-68-68

Общий телефон

+7 (495) 151-05-51

ул. Лётная, 21/1

+7 (495) 989-72-72

ул Ак. Каргина, 21

+7 (495) 104-42-00

Отдел качества

Услуги

Услуги

Врачи направления

Все врачи

Наше оборудование

CEREC - технология художественной реставрации зубов за 2 часа

CEREC - технология художественной реставрации зубов за 2 часа

CAD/CAM система CEREC позволяет проводить лечение и протезирование зубов быстро и с высокой точностью – благодаря специальному сканеру, воспроизводящему модель зуба в 3D. CEREC Omnicam, MEDIT  i700,  PrimeScan.
Дентальный микроскоп

Дентальный микроскоп

Использование ультрасовременных дентальных микроскопов создает уникальные возможности для спасения «безнадежных зубов». Микроскопы:  Advanced,  Karl Kaps,  Carl Zeiss EXTARO 300, Prima D с вариоскопом.
3D томограф Galileos

3D томограф Galileos

Охватывает всю зубочелюстную систему, включая пазухи. А благодаря 3D-моделированию аппарат  позволяет повысить диагностическую точность и виртуально спланировать наиболее эффективное лечение.
Артикулятор

Артикулятор

Является универсальным прибором для диагностики и терапии, он имитирует жевательные движения, точно определяя анатомические особенности пациента и незаменим при изготовлении ортопедических конструкций.
Дентальный компьютерный томограф Planmeca ProMax

Дентальный компьютерный томограф Planmeca ProMax

Уникальный компьютерный томограф для качественной диагностики  и планирования лечения
Sleeper One - электронная система анестезии

Sleeper One - электронная система анестезии

Система анестезии нового поколения, объём, скорость и давление подачи препарата контролируется электронной системой. Специальные иглы обеспечивают безболезненность и снижают травматичность тканей.
Стоматологическая установка DENTSPLY SIRONA

Стоматологическая установка DENTSPLY SIRONA

Признаны стоматологами во всём мире, как наиболее совершенные и комфортные, обладающие передовыми характеристиками. Обладают наградами iF Design Gold Award и German Design Award.
Интраоральный 3D-сканер

Интраоральный 3D-сканер

3D-сканирование можно назвать новым стандартом в стоматологической практике, который становится всё более распространенным. 3D-сканер позволяет достичь высочайшей точности и качества в протезировании.

Цены на несъемное протезирование

Все цены

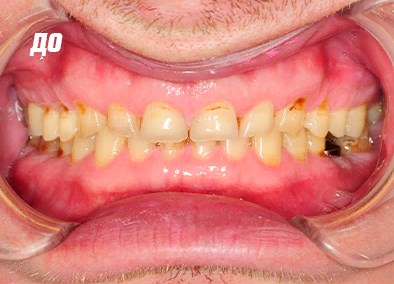
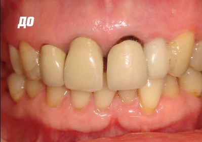
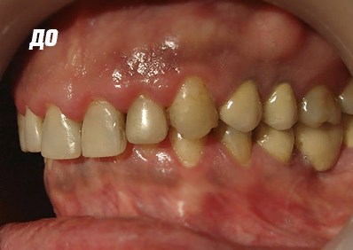
Несъемное протезирование: фото До и После

Фото ДО
Фото ПОСЛЕ

Наведите для просмотра

Протезирование коронками

Фото ДО
Фото ПОСЛЕ

Наведите для просмотра

Протезирование коронками

Фото ДО
Фото ПОСЛЕ

Наведите для просмотра

Протезирование коронками

Фото ДО
Фото ПОСЛЕ

Наведите для просмотра

Мостовидный протез

Фото ДО
Фото ПОСЛЕ

Наведите для просмотра

Мостовидный протез

Фото ДО
Фото ПОСЛЕ

Наведите для просмотра

Мостовидный протез

Фото ДО
Фото ПОСЛЕ

Наведите для просмотра

Мостовидный протез

Фото ДО
Фото ПОСЛЕ

Наведите для просмотра

Мостовидный протез

Фото ДО
Фото ПОСЛЕ

Наведите для просмотра

Протезирование коронками

Фото ДО
Фото ПОСЛЕ

Наведите для просмотра

Протезирование коронками

Наши клиники

Клиника Интегративной Стоматологии

Клиника в г. Мытищи, ул. Ак.Каргина

Наши лицензии

Лечение проводится на основании действующих медицинских лицензий Л041-01162-50/00360420 и Л041-01162-50/00367813. Это гарантирует, что все процедуры — от диагностики до реставрации — выполняются безопасно, с использованием сертифицированных материалов и оборудования, в строгом соответствии с российскими стандартами.

Л041-01162-50/00360420 Л041-01162-50/00360420

Открыть PDF
Л041-01162-50/00367813-1 Л041-01162-50/00367813

Л041-01162-50/00367813-2 Л041-01162-50/00367813

Л041-01162-50/00367813-3 Л041-01162-50/00367813

Л041-01162-50/00367813-4 Л041-01162-50/00367813

Л041-01162-50/00367813-5 Л041-01162-50/00367813

Л041-01162-50/00367813-6 Л041-01162-50/00367813

Л041-01162-50/00367813-7 Л041-01162-50/00367813

Л041-01162-50/00367813-8 Л041-01162-50/00367813

Л041-01162-50/00367813 Л041-01162-50/00367813

Открыть PDF

Виды несъёмного протезирования зубов

Существует множество заболеваний зубов, лечить которые можно только путем удаления. За последние 10 лет количество стоматологических заболеваний во всем мире увеличилось на 20%. К счастью, в стоматологической отрасли существует множество решений для устранения дефектов зубных рядов.

Несъемное протезирование зубов предполагает постоянное ношение протеза, который устанавливает и снимает только врач. Если проводится имплантация, то в костные ткани вживляется искусственный корень – имплантат, который постепенно становится частью челюстной системы и долговечной опорой для протеза. Мы предлагаем современные методики установки несъемных зубных протезов с применением прочных и экологичных композитных материалов. Вкладками, винирами и коронками можно восстановить еще естественный зуб с дефектами. К несъемному протезированию удаленных зубов относят имплантацию с установкой коронок и искусственных зубов, а также мостовидные протезы. Такие конструкции чаще всего изготавливают из металлокерамики и диоксида циркония. Опорой для них служат соседние зубы или импланты. Технологии позволяют восстанавливать видимую часть зуба, не обтачивая его полностью, а обрабатывать только фронтальную часть, что позволяет дольше сохранять ресурс зубных единиц.

Большое распространение получили вкладки из диоксида циркония, металлические или керамические культевые вкладки. Художественная реставрация позволяет получать красивый зуб посредством установки керамической вкладки на коронки разрушенных боковых зубов.

Процесс протезирования зубов на импланты состоит из имплантации, периода остеоинтеграции, и, непосредственно, установки несъемного протеза для зубов и коронки. Существуют инновационные конструкции, например, швейцарские импланты Штрауманн, которые приживаются быстрее, и уже через 4 недели можно нагружать их коронкой.

Полностью беззубый зубной ряд восстанавливается при помощи методик «Все на четырех» или «Все на шести», когда сначала устанавливают четыре или шесть опорных имплантов, а затем к ним крепят мостовидные протезы. Несъемное протезирование зубов позволяет реставрировать зубной ряд при любой, даже недостаточной толщине кости. Рассмотрим подробнее каждый вид.

Виниры

Для воссоздания эстетики зубов разработаны несколько технологий. Наиболее популярны виниры – керамические микропротезы, которые закроют зубы только с фронтальной стороны. Преимущество виниров в том, что для их установки не требуется значительная обточка зубов. Такие несъемные протезы отличаются долговечностью, поскольку не несут функциональной нагрузки на зубы. Также виниры не оказывают влияния на прилегающие ткани, не страдают от перепадов температур. Это отличный инструмент для улучшения эстетических показателей, особенно для публичных людей, которым требуется постоянно находиться на виду. Если у вас небольшое разрушение зуба или скол, трещина, другой небольшой дефект, врач может рекомендовать установку виниров, и обеспечить защиту зуба от различных заболеваний, восстановив его функциональность. Конструкции являются эффективным способом выравнивания цвета зубов, устранения сколов, щелей между зубами, и при этом не требуют всестороннего обтачивания, как при установке коронок. Виниры - это отличная возможность добиться голливудской улыбки с минимальным травмирующим эффектом для зубных тканей.

Вкладки для несъемного протезирования

Сильно разрушенный зуб до 30-50 процентов можно восстановить с помощью вкладки, заменяющий большие пломбы. Если пломбирование зуба не подходит, или предстоит установка коронок и мостов, несъемные протезы зубов в виде вкладок позволяет защитить поврежденные ткани. Вкладки более долговечны, чем пломбы, особенно если они защищены коронками или мостами.

В простых случаях вкладки выполняют эстетичную функцию, также выступают в качестве опоры под коронки и мостовидные протезы. В зависимости от расположения зуба и назначения установки вкладки, подбирается материал: керамика для передних зубов, титан или сплавы, а иногда и классическое золото – для жевательных зубов. Иногда используются бюджетные пластмассовые конструкции, которые устанавливают временно.

Вкладки бывают двух видов: для верхней части зуба и культевые, для фиксации в корневых каналах, чтобы создать основу для крепления коронки. Последние устанавливают в случаях, когда разрушения коронковой части существенные, и нельзя применять штифты – они могут быть ненадежными. Вкладки составляют более прочную конструкцию в корнях зуба для последующей фиксации коронки. Для изготовления вкладок у нас есть собственная зуботехническая лаборатория.

Коронки

Коронки имеют множество преимуществ перед другими способами несъемного протезирования зубов. С помощью коронки можно скрыть недостатки зуба, восстановить его форму и функциональность. Форма коронки – это своеобразный «чехол» на зуб с дефектом. После установки коронки снаружи зуб обретает первоначальную форму.

В зависимости от положения зуба и его функционала, выбирается и материал для изготовления конструкции. Лучше всего маскирует недостатки зуба керамика, но она более хрупкая и стоит дороже, поэтому ее используют для зубов фронтальной зоны. Поскольку керамические коронки не справятся с тяжелой нагрузкой, которой подвергаются жевательные зубы, в боковые зоны устанавливают металлокерамические коронки или современные композитные материалы, сплавы.

Установка коронки требует обтачивания зуба, перед этим зуб вылечивается от кариеса и других патологий, удаляется пульпа, чтобы предупредить развитие воспаления. Несъемные зубные протезы с одной или несколькими коронками позволяют восстанавливать весь зубной ряд, с отсутствующими зубами от одного, до полной адентии. На верхнюю челюсть изготавливается более прочный протез, так как нагрузка там более сильная.

Несъемные мостовидные протезы

Для протезирования более одного зуба с опорой на естественные зубы или имплантаты широко применяются мостовидные протезы. Даже при полном отсутствии зубов на нижней или верхней челюсти возможно восстановить все зубы. Для этого существует два способа: имплантация «Все на 6», «Все на 4» по показаниям, или полная имплантация. Несъемный зубной протез мост позволяет восстановить функциональность зубного ряда с частичным отсутствием зубов, при этом возможна опора на естественный зуб, имплантат. Если отсутствует несколько зубов подряд, можно установить один протез.

Подходящий способ подбирается стоматологом после осмотра и обязательно согласовывается с пациентом. Материалы выбирает пациент по рекомендации врача. Несъемные зубные протезы изготавливают из металлокерамики, пластика, пластмассы, благородных металлов, с керамики и т.д. Для установки основания моста опорный зуб подтачивается. Стоимость мостовидного несъемного протеза зависит от типа протеза, методики и материала изготовления для каркаса и коронок.

Несъемное протезирование зубов на имплантах

Мы устанавливаем импланты при отсутствии одного, нескольких или всех зубов. Популярная методика привлекает тем что, не требует наличия опорных зубов для крепления коронки. Сначала проводится имплантация, то есть, вживляется искусственный корень.

Структура протеза при вживлении импланта – корневая часть и наружная коронка. Имплант с течением времени обрастает живыми тканями и становится частью кости, служит бессрочно, с пожизненной гарантией. Коронка может быть реставрирована и меняется с течением времени.

Установка мостов при полной имплантации не требуется. Нужно отметить, что полная имплантация используется редко, так как очень затратная по времени, технически и по состоянию пациента. При полном отсутствии зубов достаточно установить несколько опорных зубов, чтобы к ним присоединить мостовидные протезы. Наиболее популярны технологии - Аll-Оn-4 и Аll-Оn-6, когда устанавливается всего 4 или 6 имплантов соответственно, а на место остальных зубов предусмотрены протезы и коронки из диоксида циркония.

Импланты имеют пожизненную гарантию, так как изготавливаются из прочных, антиаллергенных материалов, например, это может быть титан. Внешне коронки не отличаются от естественных зубов, выглядят идеально, с высокой степенью эстетичности и функциональности, способны переносить нагрузки на уровне натуральных зубов, а зачастую и выше. При этом соседние зубы никак не связаны и не влияют на состояние импланта, и наоборот.

Примером несъемных зубных протезов нового поколения продуктов могут служить имплантаты швейцарской компании Штрауманн.

Цены несъемных зубных протезов

Планируя несъемные протезы, каждый пациент понимает, что предстоят траты. Конечная сумма может зависеть от многих факторов:

  • Материалы, например, диоксид циркония или металлокерамика, керамика
  • Тип опор в челюсти
  • Количество коронок в протезах
  • На чем устанавливается протез – на имплантах, или на естественных зубах
  • Общее состояние организма человека
  • Наличие стоматологических патологий – кариеса, пародонтита, заболеваний десен и т.д.

Существует целые линейки материалов, от бюджетного, до класса «премиум», цены на которые сильно разнятся. Имплантация – самый дорогой вид протезирования зубов, но даже в этом случае, когда устанавливается общая стоимость, есть разница в ценах. Следите за акциями, также бюджетными считаются акционные импланты Штрауманн. На «родные» здоровые зубы изготовление коронок и несъемных зубных протезов, как правило, дешевле.

Как выбрать несъемный зубной протез

Подбор несъемных протезов и материалов для протезирования проводится индивидуально. Даже если решается одинаковая проблема, у каждого человека есть свой перечень показаний к лечению. Врач подходит к каждому случаю профессионально, назначает подходящее лечение с учетом всех параметров и рекомендует, какие поставить несъемные зубные протезы. Принимается во внимание состояние соседних зубов, строение челюсти, наличие общих системных заболеваний. Перед установкой коронки необходимо устранить все патологии. Два разных пациента могут получить одинаковые рекомендации, в то время как у двух пациентов с одинаковыми проблемами лечение и цена установки несъемного зубного протеза будут разными. Отдельные сложности создает наличие хронических заболеваний, например, пародонтита.

Установка несъемных зубных протезов проводится с безупречной точностью, ведь несъемные протезы могут эксплуатироваться десятки лет, и погрешности могут дорого стоить не только в финансах и эффективности, но и в техническом плане, так как осложнения могут привести к опасным операциям. К счастью, в нашей клинике есть все необходимое оборудование для самых оптимальных вариантов реставрации зубов. Обследование и составление плана лечения мы проводим за один день, и вы будете знать, как долго продлится весь процесс и сколько это будет стоить. В нашей лаборатории изготавливаются протезы, которые аккуратно смотрятся, устанавливаются без погрешностей и отличаются долговечностью, максимально точно напоминая естественные зубы.

На сайте указан телефон, где вы прямо сейчас можете записаться на прием, диагностику и лечение, или сохранить его до удобного времени.

Консилиум врачей в подарок Получить подарок