Ежедневно с 8:00 до 21:00

+7 (495) 151-05-51

ул. Лётная, 21/1

+7 (495) 989-72-72

ул Ак. Каргина, 21

+7 (495) 104-42-00

Отдел качества

+7 (495) 801-68-68

Общий телефон

+7 (495) 151-05-51

ул. Лётная, 21/1

+7 (495) 989-72-72

ул Ак. Каргина, 21

+7 (495) 104-42-00

Отдел качества

Ежедневно с 8:00 до 21:00

Взрослая стоматология
+7 (495) 801-68-68

Общий телефон

+7 (495) 151-05-51

ул. Лётная, 21/1

+7 (495) 989-72-72

ул Ак. Каргина, 21

+7 (495) 104-42-00

Отдел качества

Взрослая стоматология

Ортопед

Павлов Михаил Алексеевич

  • Эксперт по эстетике улыбки
  • Специалист по сложным случаям
  • Реставрация коронками и винирами
Павлов Михаил Алексеевич
Михаил Алексеевич - врач-ортопед медицинского центра с богатым 27-летним стажем работы. Является экспертом в своей области и уделяет особое внимание качеству и результатам своей работы.

Пациенты медицинского центра ценят Михаила Алексеевича за его профессионализм и заботу. Доктор работает со всеми видами ортопедических конструкций, обеспечивая пациентам высококачественное лечение и восстановление зубов.

В своей работе доктор делает акцент не только на восстановлении функции зуба, но и на создании эстетически привлекательной улыбки для своих пациентов. Его внимание к деталям и стремление к идеальному результату делают его одним из лучших специалистов в области стоматологии.

Стаж работы

27 лет

Принимает клиниках

  • пр. Космонавтов, 11
  • Клиника в г. Мытищи, ул. Ак.Каргина

Специализация

  • Ортопед

Сертификаты

1788
1789

Отзывы по врачу

Читать все отзывы

Врач: Павлов Михаил Алексеевич

ALL-ON-4 за один день - это реально!
Остался почти без зубов, думал - конец. Доктор Павлов за день поставил 4 импланта и сразу временные зубы! Через полгода получил постоянные - жую всё подряд. Это просто космические технологии!...
ALL-ON-4 за один день - это реально!
Остался почти без зубов, думал - конец. Доктор Павлов за день поставил 4 импланта и сразу временные зубы! Через полгода получил постоянные - жую всё подряд. Это просто космические технологии!
Показать весь отзыв

Врач: Павлов Михаил Алексеевич

Пришел с жутким прикусом - жевать не мог, лицо перекошенное. Михаил Алексеевич сделал какие-то свои ортопедические штуки - теперь не только жую нормально, но и профиль как у моделей! Жена аж расплакалась, когда увидела результат....
Пришел с жутким прикусом - жевать не мог, лицо перекошенное. Михаил Алексеевич сделал какие-то свои ортопедические штуки - теперь не только жую нормально, но и профиль как у моделей! Жена аж расплакалась, когда увидела результат.
Показать весь отзыв

Врач: Павлов Михаил Алексеевич

Хотела бы выразить огромную благодарность Михаилу Алексеевичу за его великолепную работу и за отзывчивость. Врач с большой буквы. Убедилась в этом второй раз. Первый раз 3 года назад делала импланты, нет ни единого нарекания. Делала сразу верх и низ....
Хотела бы выразить огромную благодарность Михаилу Алексеевичу за его великолепную работу и за отзывчивость. Врач с большой буквы. Убедилась в этом второй раз. Первый раз 3 года назад делала импланты, нет ни единого нарекания. Делала сразу верх и низ. От своих не отличить. Второй раз, сломался передний зуб (уже свой). Причем вечером, клиники рядом с домом отказались принять. Михаил Алексеевич не только принял вне планово в 8 часов вечера, но и поставил сразу временный зуб. (Так как я работаю с людьми для меня было это очень критично). Предложил сразу поставить виниры, так как Передние зубы плохие. Помог подобрать цвет. Работа превзошла все ожидания. Получилось естественно и очень красиво. Сейчас прошло 3 месяца, чувствую себя очень комфортно. Стала все время улыбаться и гордиться своими зубками:) Спасибо вам большое за прекрасную работу, за то что как настоящий доктор не бросаете пациентов в беде.
Показать весь отзыв

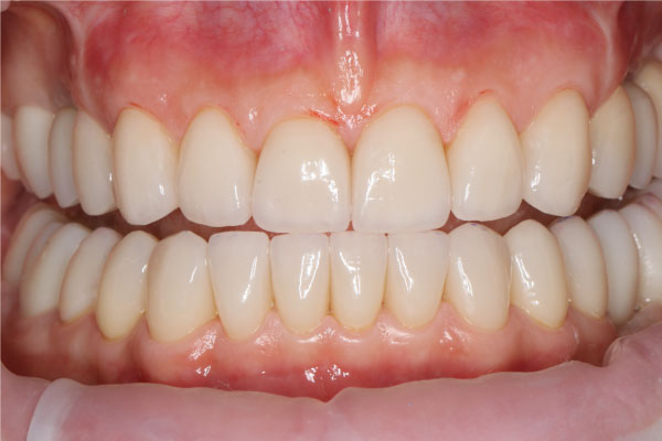
Работы врача

Фото ДО
Фото ПОСЛЕ

Наведите для просмотра

Постоянное протезирование коронками из циркония на дентальных имплантах

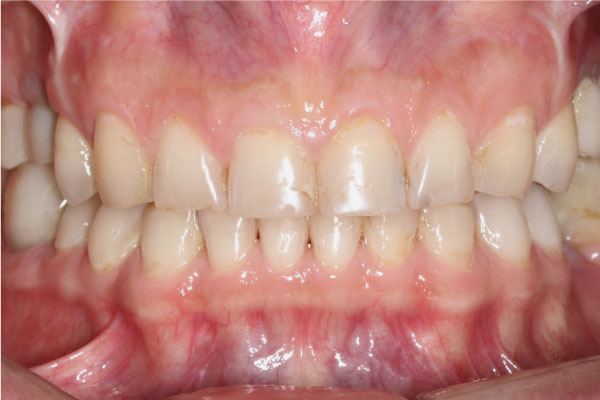
Фото ДО
Фото ПОСЛЕ

Наведите для просмотра

Установка виниров

Фото ДО
Фото ПОСЛЕ

Наведите для просмотра

All-on-4

Фото ДО
Фото ПОСЛЕ

Наведите для просмотра

All-on-4

Фото ДО
Фото ПОСЛЕ

Наведите для просмотра

All-on-4

Клиники, в которых принимает специалист

Клиника «Эксперт»

Клиника в г. Мытищи, ул. Ак.Каргина

Консилиум врачей в подарок Получить подарок