Ежедневно с 8:00 до 21:00

+7 (495) 151-05-51

ул. Лётная, 21/1

+7 (495) 989-72-72

ул Ак. Каргина, 21

+7 (495) 104-42-00

Отдел качества

+7 (495) 801-68-68

Общий телефон

+7 (495) 151-05-51

ул. Лётная, 21/1

+7 (495) 989-72-72

ул Ак. Каргина, 21

+7 (495) 104-42-00

Отдел качества

Ежедневно с 8:00 до 21:00

Взрослая стоматология
+7 (495) 801-68-68

Общий телефон

+7 (495) 151-05-51

ул. Лётная, 21/1

+7 (495) 989-72-72

ул Ак. Каргина, 21

+7 (495) 104-42-00

Отдел качества

Взрослая стоматология

Протезирование зубов

Протезирование зубов коронками - довольно популярная мера, принимаемая для восстановления зубов, а благодаря современным материалам и технологиям 3D-моделирования обеспечивается идеальное прилегание стенок коронки, исключающая попадание пищи и осложнения после лечения.

В стоматологии "Интердентос" представлен широкий спектр коронок для протезирования из различных материалов, от металлокерамических до керамических и фарфоровых, изготовленных с применением передовых технологий и установок, обеспечивающих идеальное прилегание коронки и эстетически неотличимый от здоровых зубов - внешний вид.

9 клиник

9 клиник

В 5 городах подмосковья:
Королёв, Мытищи, Щёлково, Пушкино и Балашиха.
с 1998 года

с 1998 года

Многолетний накопленный опыт и собственная научная база позволяет решать даже самые сложные случаи
250 тысяч пациентов

250 тысяч пациентов

Доверили нам своё здоровье.
80% из них
— пришли к нам по рекомендациям

Виды зубных протезов

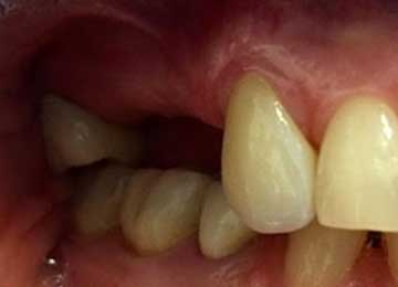
Если зуб имеет обширные разрушения, то спасти и сохранить его функциональность помогают коронки. Эта услуга из раздела несъемного протезирования также выполняется для решения эстетических задач. На сегодняшний день используются керамические и металлокерамические коронки, каждая из которых обладает своими индивидуальными особенностями.

Сам процесс установки коронок на зубы требует тщательной диагностики и лечения всех проблемных моментов, чтобы исключить проникновение инфекции в период установки коронки, когда зуб проходит препарирование и обтачивается под установку коронки.

Быстрая запись на приём

Оставьте номер телефона и администратор перезвонит Вам в течение 5 минут.

img

Спасибо!

Наши специалисты свяжутся с вами в ближайшее время.

Ежедневно с 8:00 до 21:00

+7 (495) 801-68-68

Общий телефон

+7 (495) 151-05-51

ул. Лётная, 21/1

+7 (495) 989-72-72

ул Ак. Каргина, 21

+7 (495) 104-42-00

Отдел качества

Услуги

Услуги

Врачи ортопедического отделения

Все врачи

Наше оборудование

CEREC - технология художественной реставрации зубов за 2 часа

CEREC - технология художественной реставрации зубов за 2 часа

CAD/CAM система CEREC позволяет проводить лечение и протезирование зубов быстро и с высокой точностью – благодаря специальному сканеру, воспроизводящему модель зуба в 3D. CEREC Omnicam, MEDIT  i700,  PrimeScan.
Дентальный микроскоп

Дентальный микроскоп

Использование ультрасовременных дентальных микроскопов создает уникальные возможности для спасения «безнадежных зубов». Микроскопы:  Advanced,  Karl Kaps,  Carl Zeiss EXTARO 300, Prima D с вариоскопом.
3D томограф Galileos

3D томограф Galileos

Охватывает всю зубочелюстную систему, включая пазухи. А благодаря 3D-моделированию аппарат  позволяет повысить диагностическую точность и виртуально спланировать наиболее эффективное лечение.
Артикулятор

Артикулятор

Является универсальным прибором для диагностики и терапии, он имитирует жевательные движения, точно определяя анатомические особенности пациента и незаменим при изготовлении ортопедических конструкций.
Дентальный компьютерный томограф Planmeca ProMax

Дентальный компьютерный томограф Planmeca ProMax

Уникальный компьютерный томограф для качественной диагностики  и планирования лечения
Sleeper One - электронная система анестезии

Sleeper One - электронная система анестезии

Система анестезии нового поколения, объём, скорость и давление подачи препарата контролируется электронной системой. Специальные иглы обеспечивают безболезненность и снижают травматичность тканей.
Стоматологическая установка DENTSPLY SIRONA

Стоматологическая установка DENTSPLY SIRONA

Признаны стоматологами во всём мире, как наиболее совершенные и комфортные, обладающие передовыми характеристиками. Обладают наградами iF Design Gold Award и German Design Award.
Интраоральный 3D-сканер

Интраоральный 3D-сканер

3D-сканирование можно назвать новым стандартом в стоматологической практике, который становится всё более распространенным. 3D-сканер позволяет достичь высочайшей точности и качества в протезировании.

Цены на протезирование зубов

Все цены

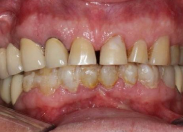
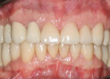
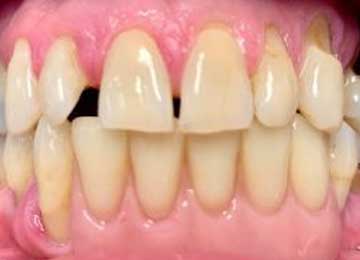
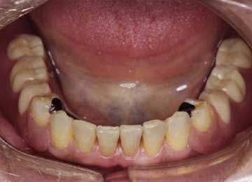
Фото "До" и "После"

Фото ДО
Фото ПОСЛЕ

Наведите для просмотра

Керамические коронки

Фото ДО
Фото ПОСЛЕ

Наведите для просмотра

Акри Фри

Фото ДО
Фото ПОСЛЕ

Наведите для просмотра

Акри Фри

Фото ДО
Фото ПОСЛЕ

Наведите для просмотра

Акри Фри

Фото ДО
Фото ПОСЛЕ

Наведите для просмотра

Квадротти протезы

Фото ДО
Фото ПОСЛЕ

Наведите для просмотра

Квадротти протезы

Фото ДО
Фото ПОСЛЕ

Наведите для просмотра

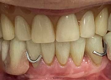
Бюгельное протезирование

Фото ДО
Фото ПОСЛЕ

Наведите для просмотра

Бюгельное протезирование

Фото ДО
Фото ПОСЛЕ

Наведите для просмотра

Бюгельное протезирование

Фото ДО
Фото ПОСЛЕ

Наведите для просмотра

Бюгельное протезирование

Наши клиники

Клиника Интегративной Стоматологии

Клиника в г. Мытищи, ул. Ак.Каргина

Наши лицензии

Лечение проводится на основании действующих медицинских лицензий Л041-01162-50/00360420 и Л041-01162-50/00367813. Это гарантирует, что все процедуры — от диагностики до реставрации — выполняются безопасно, с использованием сертифицированных материалов и оборудования, в строгом соответствии с российскими стандартами.

Л041-01162-50/00360420 Л041-01162-50/00360420

Открыть PDF
Л041-01162-50/00367813-1 Л041-01162-50/00367813

Л041-01162-50/00367813-2 Л041-01162-50/00367813

Л041-01162-50/00367813-3 Л041-01162-50/00367813

Л041-01162-50/00367813-4 Л041-01162-50/00367813

Л041-01162-50/00367813-5 Л041-01162-50/00367813

Л041-01162-50/00367813-6 Л041-01162-50/00367813

Л041-01162-50/00367813-7 Л041-01162-50/00367813

Л041-01162-50/00367813-8 Л041-01162-50/00367813

Л041-01162-50/00367813 Л041-01162-50/00367813

Открыть PDF

Основные виды протезирования зубов

Протезирование зубов (виды и цены вы сможете узнать на нашем сайте или уточнить в телефонном режиме) – это наиболее динамично развивающаяся отрасль стоматологии, которая сегодня достигла действительно небывалых высот. Сегодня современные возможности стоматологии настолько велики, что имеется возможность подобрать решение на любой бюджет, для проблемы любого типа, даже для полной адентии, то есть потери всех зубов на челюсти или вообще в ротовой полости.

Сегодня существует два основных типа протезирования зубов:

  • съёмное, то есть позволяющее полностью или частично снимать протез по мере необходимости для очистки и ухода за ротовой полостью;
  • несъёмное: в этом случае происходит фиксация протеза, например, коронки, на имплантат, который заменяет естественный корень зуба; или с помощью крепления на соседние предварительно обточенные зубы; в этом случае протез надёжно фиксируется специальным раствором, который по прочности чем-то напоминает цемент; протез же не снимается ровно до момента окончания срока его службы.

Несъёмное протезирование считается одной из самых востребованных разновидностей. Современные технологии позволяют полностью реалистично восстановить эстетичность зубного ряда и его функциональность. Протезы получаются невероятно надёжными и прочными, редко требующими особо сложного ухода за ротовой полостью. Материалы, используемые для производства протеза, биологически совместимы с естественными тканями человека, практически никогда не вызывают аллергии. Если использовать технологии установки протеза с предварительным обтачиванием соседних зубов, то это решение будет удивительно доступным и недорогим, однако только установка имплантатов позволяет гарантировать идеально естественный результат восстановления зубного ряда.

Съёмное протезирование более доступно по стоимости, вследствие чего оно ничуть не теряет своей популярности. Более того, в некоторых случаях только съёмный протез способен помочь в восстановлении функциональности и эстетичности челюсти, например, при отсутствии большого количества зубов (или даже всех зубов) у пациента пожилого возраста, когда более серьёзное вмешательство, например, имплантирование, может не дать желаемого результата вследствие возрастной хрупкости костей.

Современные протезы необязательно снимать на ночь (даже если это классическая съёмная челюсть). За ними просто ухаживать, а их эстетичность очень высока, поэтому даже молодые пациенты нередко не видят проблем в том, чтобы носить именно такой протез.

Какой бы из видов протезирования вы ни выбрали, специалисты клиники «Интердентос» помогут подобрать оптимальное решение именно для вашего клинического случая.

Особенности несъёмного протезирования зубов

Несъёмные протезы позволяют наиболее реалистично и удобно заменить отсутствующие зубы в ряду, один и несколько. Эти конструкции наиболее активно развиваются, придумываются новые технологии их установки и производства, используются оригинальные материалы. Сегодня различают несколько основных видов несъёмных протезов:

  • коронки – «накладки», восстанавливающие зуб;
  • виниры – тонкие «лепесточки» из керамики, наклеивающиеся на зуб и восстанавливающие его эстетичность;
  • мостовидные протезы;
  • имплантаты – искусственные «корни» отсутствующего зуба, на который сверху надевается коронка из керамики, металлокерамики и т.д.

Разновидности съёмного протезирования зубов

Съёмные протезы часто снимаются лишь раз в несколько дней, а иногда и месяцев, чтобы их вычистили и при необходимости скорректировали. Современное протезирование предлагает следующие типы конструкций:

  • частичные – позволяют восстановить функцию и эстетичность нескольких отсутствующих в ряду зубов;
  • полные – надеваются на всю челюсть.

Для изготовления таких протезов используется нейлон – гипоаллергенный материал, который хорошо позволяет имитировать дёсны и сами зубы. К съёмным протезам пациент может привыкнуть меньше чем за неделю, они совершенно не вызывают дискомфорта, за ними просто ухаживать, а срок службы искусственного зуба может доходить до 3-4 лет.

Бюгельное протезирование – современный тип восстановления зубов

Бюгельные протезы – это один и самых популярных видов восстановления зубов в ряду, отличающийся доступной стоимостью и простотой установки. По способу крепления различают несколько типов таких протезов:

  • классические протезы закрепляются на предварительно обточенных опорных зубах специальными защёлками-крючками – это наиболее недорогой тип бюгельного протезирования зуба;
  • аттачменты, или двойные крепления, отличаются высокой надёжностью и быстрым привыканием к протезу;
  • телескопический тип крепления бюгельного протеза сегодня считается самым современным, долговечным, комфортным и безопасным типом восстановления зубов съёмными протезами; в этом случае на опорные зубы надеваются специально подготовленные коронки с замками, а на них сверху «защёлкивается» специально подогнанный именно под вас протез. Это комфортное и качественное решение, которое, впрочем, обойдётся значительно дороже своих более простых и доступных аналогов.
Консилиум врачей в подарок Получить подарок