Ежедневно с 8:00 до 21:00

+7 (495) 151-05-51

ул. Лётная, 21/1

+7 (495) 989-72-72

ул Ак. Каргина, 21

+7 (495) 104-42-00

Отдел качества

+7 (495) 801-68-68

Общий телефон

+7 (495) 151-05-51

ул. Лётная, 21/1

+7 (495) 989-72-72

ул Ак. Каргина, 21

+7 (495) 104-42-00

Отдел качества

Ежедневно с 8:00 до 21:00

Взрослая стоматология
+7 (495) 801-68-68

Общий телефон

+7 (495) 151-05-51

ул. Лётная, 21/1

+7 (495) 989-72-72

ул Ак. Каргина, 21

+7 (495) 104-42-00

Отдел качества

Взрослая стоматология

Лечение десен

Заболевания дёсен – не редкость, и причины, которые могут их спровоцировать, окружают современного человека буквально везде. Это и влияние экологии, и ненадлежащее питание, и вредные привычки. Все эти факторы приводят к развитию бактерий, выделяющих токсичные вещества, которые в итоге повреждают ткани ротовой полости. Начинается все с неприятного запаха изо рта, кровоточивости десен, привкуса во рту. Если не обратиться своевременно к специалисту, можно запросто лишиться вполне здорового зуба.

Наши специалисты быстро выявят причины заболевания и назначат необходимое лечение, направленное на скорейшее выздоровление.

9 клиник

9 клиник

В 5 городах подмосковья:
Королёв, Мытищи, Щёлково, Пушкино и Балашиха.
с 1998 года

с 1998 года

Многолетний накопленный опыт и собственная научная база позволяет решать даже самые сложные случаи
250 тысяч пациентов

250 тысяч пациентов

Доверили нам своё здоровье.
80% из них
— пришли к нам по рекомендациям
-0

Преимущества лечения в «Интердентос»

Точно определить причину проблемы позволяет методика Florida Probe. В течение получаса врач получает полную информацию о том:

  • имеются ли пародонтальные каналы в деснах пациента и какова их глубина;
  • есть ли очаги воспаления;
  • присутствует ли кровоточивость;
  • наблюдается ли подвижность зубов.

В отношении заболеваний пародонта, если поставить правильный диагноз на ранней стадии, когда симптоматики ещё недостаточно, можно справиться с болезнью эффективно и совершенно безболезненно!

Быстрая запись на приём

Оставьте номер телефона и администратор перезвонит Вам в течение 5 минут.

img

Спасибо!

Наши специалисты свяжутся с вами в ближайшее время.

Ежедневно с 8:00 до 21:00

+7 (495) 801-68-68

Общий телефон

+7 (495) 151-05-51

ул. Лётная, 21/1

+7 (495) 989-72-72

ул Ак. Каргина, 21

+7 (495) 104-42-00

Отдел качества

Цены на лечение десен

Все цены

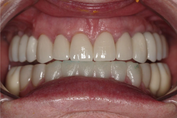
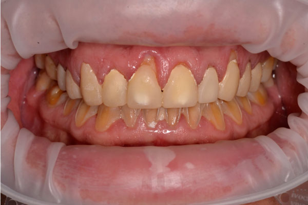
Лечение десен: фото До и После

Фото ДО
Фото ПОСЛЕ

Наведите для просмотра

Лечение рецессии десны

Наши клиники

Клиника Интегративной Стоматологии

Клиника в г. Мытищи, ул. Ак.Каргина

Наши лицензии

Лечение проводится на основании действующих медицинских лицензий Л041-01162-50/00360420 и Л041-01162-50/00367813. Это гарантирует, что все процедуры — от диагностики до реставрации — выполняются безопасно, с использованием сертифицированных материалов и оборудования, в строгом соответствии с российскими стандартами.

Л041-01162-50/00360420 Л041-01162-50/00360420

Открыть PDF
Л041-01162-50/00367813-1 Л041-01162-50/00367813

Л041-01162-50/00367813-2 Л041-01162-50/00367813

Л041-01162-50/00367813-3 Л041-01162-50/00367813

Л041-01162-50/00367813-4 Л041-01162-50/00367813

Л041-01162-50/00367813-5 Л041-01162-50/00367813

Л041-01162-50/00367813-6 Л041-01162-50/00367813

Л041-01162-50/00367813-7 Л041-01162-50/00367813

Л041-01162-50/00367813-8 Л041-01162-50/00367813

Л041-01162-50/00367813 Л041-01162-50/00367813

Открыть PDF

Процесс лечения дёсен в Мытищах

Лечение дёсен обычно требует длительного курса. Сначала удаляется поддесневой зубной камень, это разрушает среду, в которой могут размножаться болезнетворные бактерии. Когда изначальная причина устранена, доктора приступают к лечению последствий от действия токсинов: проводят пластику десны или шинирование зубов.

Чтобы поддерживать ротовую полость в хорошем состоянии, важно регулярно навещать стоматолога.

В процессе лечения, специалистам «Интердентос», помогают современные технологии, например, Vector. С помощью этого аппарата можно безболезненно убрать зубной камень и бляшки, обеззаразить ротовую полость, даже уничтожить бактерии в создавшихся карманах. Аппарат одновременно очищает и полирует поверхность зубов, действует аккуратно и деликатно.

Обращайтесь – мы поможем вернуть здоровье вашим зубам, а вам – уверенность в себе!

Консилиум врачей в подарок Получить подарок