Ежедневно с 8:00 до 21:00

+7 (495) 151-05-51

ул. Лётная, 21/1

+7 (495) 989-72-72

ул Ак. Каргина, 21

+7 (495) 104-42-00

Отдел качества

+7 (495) 801-68-68

Общий телефон

+7 (495) 151-05-51

ул. Лётная, 21/1

+7 (495) 989-72-72

ул Ак. Каргина, 21

+7 (495) 104-42-00

Отдел качества

Ежедневно с 8:00 до 21:00

Взрослая стоматология
+7 (495) 801-68-68

Общий телефон

+7 (495) 151-05-51

ул. Лётная, 21/1

+7 (495) 989-72-72

ул Ак. Каргина, 21

+7 (495) 104-42-00

Отдел качества

Взрослая стоматология

Имплантация зубов

Если вы утратили один или несколько зубов, это не значит, что теперь придется постоянно скрывать свою улыбку. Мы вернем вам уверенность в себе и восстановим зубной ряд. В достижении желаемого результата поможет имплантация зубов, которая предполагает вживление в десну металлического стержня, аналогичного зубному корню. После операции и успешного заживления устанавливается протез, внешне неотличимый от природного зуба.

9 клиник

9 клиник

В 5 городах подмосковья:
Королёв, Мытищи, Щёлково, Пушкино и Балашиха.
с 1998 года

с 1998 года

Многолетний накопленный опыт и собственная научная база позволяет решать даже самые сложные случаи
250 тысяч пациентов

250 тысяч пациентов

Доверили нам своё здоровье.
80% из них
— пришли к нам по рекомендациям

Возможности имплантации зубов

Обратите внимание – другие виды протезирования не столь эффективны и долговечны, как установка импланта, поскольку они временные и не дают необходимой нагрузки на челюстную кость, из-за чего начинается процесс атрофии. Внедрение импланта непосредственно в костную ткань позволяет установить коронку, идентичную утраченному зубу.

Чтобы имплантация зубов увенчалась успехом, обращайтесь к профессионалам – запишитесь на прием в клинику «Интердентос» в Мытищах. С вами будут работать квалифицированные специалисты, которые гарантируют качественный результат. Однако для его сохранения на долгие годы без риска отторжения важно в точности соблюдать указания врача.

Быстрая запись на приём

Оставьте номер телефона и администратор перезвонит Вам в течение 5 минут.

img

Спасибо!

Наши специалисты свяжутся с вами в ближайшее время.

Ежедневно с 8:00 до 21:00

+7 (495) 801-68-68

Общий телефон

+7 (495) 151-05-51

ул. Лётная, 21/1

+7 (495) 989-72-72

ул Ак. Каргина, 21

+7 (495) 104-42-00

Отдел качества

Услуги

Показать всё

Услуги

Показать всё

Врачи имплантологи

Все врачи

Наше оборудование

3D томограф Galileos

3D томограф Galileos

Охватывает всю зубочелюстную систему, включая пазухи. А благодаря 3D-моделированию аппарат  позволяет повысить диагностическую точность и виртуально спланировать наиболее эффективное лечение.
Дентальный компьютерный томограф Planmeca ProMax

Дентальный компьютерный томограф Planmeca ProMax

Уникальный компьютерный томограф для качественной диагностики  и планирования лечения
Sleeper One - электронная система анестезии

Sleeper One - электронная система анестезии

Система анестезии нового поколения, объём, скорость и давление подачи препарата контролируется электронной системой. Специальные иглы обеспечивают безболезненность и снижают травматичность тканей.
Стоматологическая установка DENTSPLY SIRONA

Стоматологическая установка DENTSPLY SIRONA

Признаны стоматологами во всём мире, как наиболее совершенные и комфортные, обладающие передовыми характеристиками. Обладают наградами iF Design Gold Award и German Design Award.

Цены на имплантацию зубов

Все цены

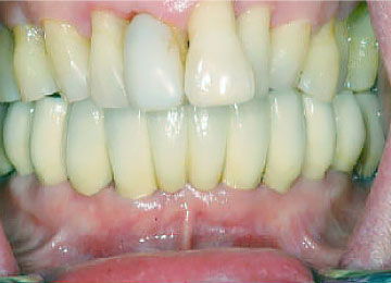
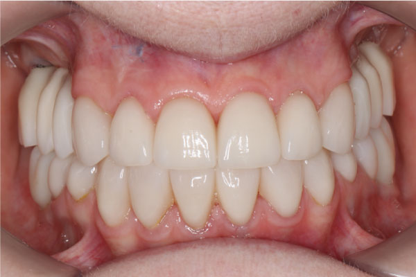
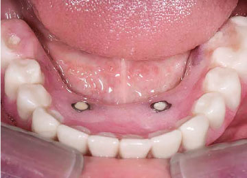
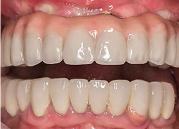
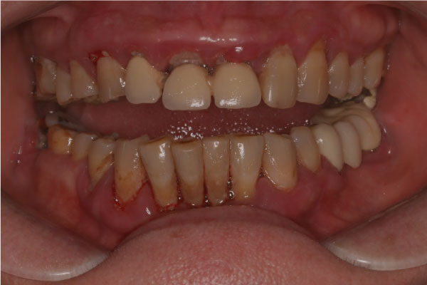
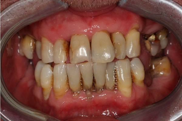
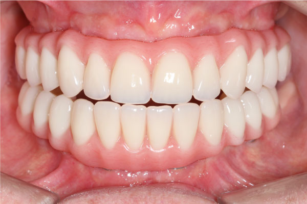
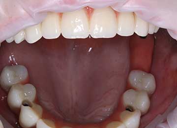
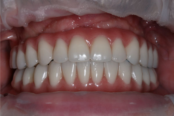
Имплантация зубов: фото "До" и "После"

Фото ДО
Фото ПОСЛЕ

Наведите для просмотра

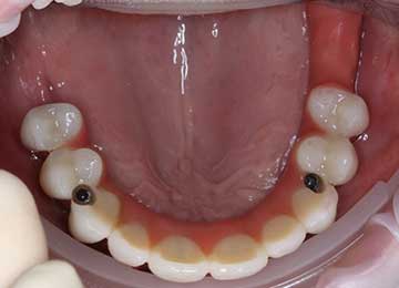
All-on-4

Фото ДО
Фото ПОСЛЕ

Наведите для просмотра

All-on-4

Фото ДО
Фото ПОСЛЕ

Наведите для просмотра

All-on-4

Фото ДО
Фото ПОСЛЕ

Наведите для просмотра

All-on-4

Фото ДО
Фото ПОСЛЕ

Наведите для просмотра

All-on-6

Фото ДО
Фото ПОСЛЕ

Наведите для просмотра

All-on-6

Фото ДО
Фото ПОСЛЕ

Наведите для просмотра

All-on-6

Фото ДО
Фото ПОСЛЕ

Наведите для просмотра

All-on-6

Фото ДО
Фото ПОСЛЕ

Наведите для просмотра

All-on-4

Фото ДО
Фото ПОСЛЕ

Наведите для просмотра

All-on-4

Фото ДО
Фото ПОСЛЕ

Наведите для просмотра

All-on-4

Фото ДО
Фото ПОСЛЕ

Наведите для просмотра

All-on-4

Фото ДО
Фото ПОСЛЕ

Наведите для просмотра

All-on-4

Фото ДО
Фото ПОСЛЕ

Наведите для просмотра

All-on-4

Фото ДО
Фото ПОСЛЕ

Наведите для просмотра

All-on-4

Наши клиники

Клиника Интегративной Стоматологии

Клиника в г. Мытищи, ул. Ак.Каргина

Наши лицензии

Лечение проводится на основании действующих медицинских лицензий Л041-01162-50/00360420 и Л041-01162-50/00367813. Это гарантирует, что все процедуры — от диагностики до реставрации — выполняются безопасно, с использованием сертифицированных материалов и оборудования, в строгом соответствии с российскими стандартами.

Л041-01162-50/00360420 Л041-01162-50/00360420

Открыть PDF
Л041-01162-50/00367813-1 Л041-01162-50/00367813

Л041-01162-50/00367813-2 Л041-01162-50/00367813

Л041-01162-50/00367813-3 Л041-01162-50/00367813

Л041-01162-50/00367813-4 Л041-01162-50/00367813

Л041-01162-50/00367813-5 Л041-01162-50/00367813

Л041-01162-50/00367813-6 Л041-01162-50/00367813

Л041-01162-50/00367813-7 Л041-01162-50/00367813

Л041-01162-50/00367813-8 Л041-01162-50/00367813

Л041-01162-50/00367813 Л041-01162-50/00367813

Открыть PDF

Показания и противопоказания имплантации зубов

Перед процедурой важно пройти полное обследование и осмотр у врача-стоматолога. Среди показаний к имплантации зубов:

  • в зубном ряду отсутствуют зубы;
  • нет зубов во всей челюсти;
  • высокая подвижность зубов;
  • выпадение зубов;
  • неприятные ощущения при использовании съемного протеза;
  • повышенная чувствительность десен;
  • заболевания зубов, поздние стадии пародонтита;
  • невозможность установить съемный протез;
  • дефекты речи;
  • нарушения прикуса;
  • атрофия челюстной кости.

Противопоказания бывают относительными и абсолютными. К первым относятся остро протекающие заболевания полости рта, ВИЧ, гепатит, сахарный диабет и отсутствие должного ухода за ротовой полостью.

Список абсолютных противопоказаний включает следующие пункты:

  • болезни иммунной системы;
  • проблемы сердечно-сосудистой и дыхательной систем;
  • психические заболевания;
  • онкологические процессы;
  • плохая свертываемость крови;
  • гипертонус жевательной мускулатуры;
  • невозможность провести качественное обезболивание;

Имплантацию зубов можно проводить только при условии полного излечения выявленных заболеваний полости рта, иначе бактериальная среда может привести к развитию серьезной инфекции, и организм отторгнет имплант.

Имплантация зубов применяется и в качестве опоры для мостовидных протезов. Протезирование может проводиться в течение двух недель с момента установки импланта или в два этапа. Во втором случае необходимо переждать определенное время, которое требуется на сращивание с костью, после чего создается протез.

Наши специалисты помогут подобрать подходящий способ имплантации после внимательного анализа состояния пациента, костной ткани, рентгеновских снимков челюсти и изучения данных осмотра ротовой полости.

Этапы имплантации зубов

Процедура включает несколько этапов: 

1. Установка импланта в костную ткань. Пациент не испытывает неприятных ощущений или боли. В зависимости от варианта имплантации, установленный имплант накрывается временной коронкой или тканью десны до полного заживления. 

2. При двухэтапной имплантации внедренная конструкция открывается, поверх размещается формирователь десны. 

3. Устанавливается аббатмент, происходит фиксация постоянного протеза.

Многолетний опыт врачей клиники «Интердентос», а также внимательное отношение к каждому пациенту позволяют гарантировать, что имплантация зубов пройдет успешно. Главное – придерживаться рекомендаций и минимум за час до процедуры отказаться от пищи, точно выполнить предписания после нее, особенно если они касаются приема медицинских препаратов. Рассечение десны проходит под местной анестезией. Ложе для импланта подготавливается фрезой, куда в последующем и вводится конструкция. После этого проводится ушивание, или устанавливается временная коронка.

Обратите внимание: процедура занимает не более часа, а вот отек может держаться до двух суток. Болезненность, которая появляется на месте имплантации зубов, за 3-5 суток исчезает, да и терпеть боль придется – для того, чтобы блокировать неприятные ощущения, врач пропишет обезболивающие препараты.

Сколько стоит установка зубных имплантов

В среднем, срок службы имплантов составляет порядка двадцати пяти лет, при этом используемые титановые стержни срастаются с костной тканью и вообще не вызывают никаких неприятных ощущений. Долговечность конструкции подтверждают и производители – они дают гарантию до десяти лет. Но и наша клиника не отличается от лидеров в отрасли. Мы оформляем:

1. Годовую гарантию на проведенную имплантацию, если предписания врача соблюдаются в точности и пациент не избегает плановых посещений. 

2. Годовая гарантия на протезирование, если пациент корректно ухаживает за установленными протезами. Корректный уход включает применение зубной нити, ирригатора, микро-щеточек, препятствующих появлению налета.

Цены на имплантацию зубов могут отличаться, так как влияние оказывает состояние зубного ряда, объем затрачиваемого расходного материала, тип конструкции и другие факторы. Позвоните – мы расскажем подробнее!

Преимущества имплантации зубов

Мифы, которые вот уже много лет кряду собирает вокруг себя процедура имплантации зубов, не имеют под собой оснований. При операции не применяется общий наркоз, болевых ощущений пациент не испытывает, преклонный возраст не становится противопоказанием для такой методики восстановления утраченных зубов. Не будет и длительного чувства дискомфорта или послеоперационных болей.

Имплантация зубов отличается рядом преимуществ:

  • Внешняя эстетичность установленного протеза;
  • Полное восстановление жевательных функций;
  • Остановка процесса атрофии зубной кости;
  • Продолжительность службы без необходимости замены протеза;
  • Отсутствие травматичности для здоровых зубов;
  • Возможность заменить зубной ряд целиком;
  • Надежная фиксация;
  • Простой уход и отсутствие предрасположенности к заболеваниям полости рта.

Отторжение имплантов происходит крайне редко – чтобы избежать осложнений, наша команда применяет современную технологию, которая сводит к нулю риск негативных последствий.

Имплантаты надежно фиксируются в кости и выдерживают любую нагрузку. Обтачивать соседние зубы не приходится, а значит, не изменяются черты лица или прикус. В то же время удаление зубов с установкой протезов, опирающихся на остатки зубного ряда, могут обернуться неприятными последствиями уже спустя год! Чтобы не сталкиваться с ними, сделайте выбор в пользу имплантации! Позвоните и запишитесь на прием к специалистам клиники «Интердентос» в Мытищах – мы расскажем детальнее о процедуре и результатах!

Консилиум врачей в подарок Получить подарок