Ежедневно с 8:00 до 21:00

+7 (495) 151-05-51

ул. Лётная, 21/1

+7 (495) 989-72-72

ул Ак. Каргина, 21

+7 (495) 104-42-00

Отдел качества

+7 (495) 801-68-68

Общий телефон

+7 (495) 151-05-51

ул. Лётная, 21/1

+7 (495) 989-72-72

ул Ак. Каргина, 21

+7 (495) 104-42-00

Отдел качества

Ежедневно с 8:00 до 21:00

Взрослая стоматология
+7 (495) 801-68-68

Общий телефон

+7 (495) 151-05-51

ул. Лётная, 21/1

+7 (495) 989-72-72

ул Ак. Каргина, 21

+7 (495) 104-42-00

Отдел качества

Взрослая стоматология

Исправление прикуса у детей

Проблема неправильного прикуса достаточно распространена как среди детей, так и среди взрослых. Иногда неправильный прикус почти незаметен и представляет собой лишь эстетическую проблему, а иногда приводит к целому ряду серьёзных последствий. Однако исправить прикус всегда возможно: в руках опытных ортодонтов медицинского центра «Интердентос» в Мытищах можно создать настоящее чудо и стать счастливым обладателем сногсшибательной улыбки!

9 клиник

9 клиник

В 5 городах подмосковья:
Королёв, Мытищи, Щёлково, Пушкино и Балашиха.
с 1998 года

с 1998 года

Многолетний накопленный опыт и собственная научная база позволяет решать даже самые сложные случаи
250 тысяч пациентов

250 тысяч пациентов

Доверили нам своё здоровье.
80% из них
— пришли к нам по рекомендациям
-0

На что влияет неправильный прикуса у ребёнка?

Правильный прикус – это естественное прямое прилегание зубов друг к другу. Похвастаться им может лишь очень небольшое количество людей. Неправильный же прикус встречается гораздо чаще. Во многих случаях пускание дела «на самотёк» и отсутствие лечения приводит к целому ряду последствий:

  • значительно повышается чувствительность зубов;
  • быстрее истирается эмаль;
  • люди с неправильным прикусом более подвержены заболеваниям полости рта, мышц лица и челюсти;
  • может нарушаться работа ЖКТ;
  • в особо сложных случаях неправильный прикус приводит к асимметрии лица.

Чем раньше будет начато лечение дефектов прикуса, тем более быстрым и комфортным будет этот процесс.

Быстрая запись на приём

Оставьте номер телефона и администратор перезвонит Вам в течение 5 минут.

img

Спасибо!

Наши специалисты свяжутся с вами в ближайшее время.

Ежедневно с 8:00 до 21:00

+7 (495) 801-68-68

Общий телефон

+7 (495) 151-05-51

ул. Лётная, 21/1

+7 (495) 989-72-72

ул Ак. Каргина, 21

+7 (495) 104-42-00

Отдел качества

Услуги

Услуги

Цены на исправление прикуса

Все цены
  • Изготовление пластинок для исправления прикуса

    22141

  • Коррекция прикуса с использованием съемных и несъемных конструкций, окклюзионная каппа для лечения дисфункции ВНЧС (СПЛИНТ)

    32976

  • фиксация вестибулярных брекетов в полости рта (за 1 челюсть)

    29802

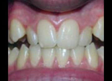
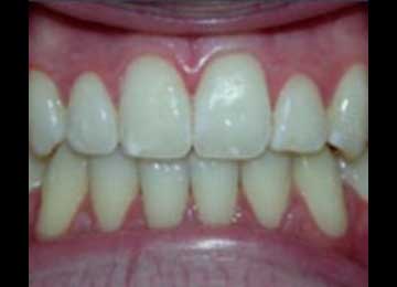
Результат лечения

Фото ДО
Фото ПОСЛЕ

Наведите для просмотра

Исправление прикуса подросткам

Фото ДО
Фото ПОСЛЕ

Наведите для просмотра

Исправление прикуса у детей

Фото ДО
Фото ПОСЛЕ

Наведите для просмотра

Исправление прикуса у детей

Наши клиники

Клиника Интегративной Стоматологии

Клиника в г. Мытищи, ул. Ак.Каргина

Наши лицензии

Лечение проводится на основании действующих медицинских лицензий Л041-01162-50/00360420 и Л041-01162-50/00367813. Это гарантирует, что все процедуры — от диагностики до реставрации — выполняются безопасно, с использованием сертифицированных материалов и оборудования, в строгом соответствии с российскими стандартами.

Л041-01162-50/00360420 Л041-01162-50/00360420

Открыть PDF
Л041-01162-50/00367813-1 Л041-01162-50/00367813

Л041-01162-50/00367813-2 Л041-01162-50/00367813

Л041-01162-50/00367813-3 Л041-01162-50/00367813

Л041-01162-50/00367813-4 Л041-01162-50/00367813

Л041-01162-50/00367813-5 Л041-01162-50/00367813

Л041-01162-50/00367813-6 Л041-01162-50/00367813

Л041-01162-50/00367813-7 Л041-01162-50/00367813

Л041-01162-50/00367813-8 Л041-01162-50/00367813

Л041-01162-50/00367813 Л041-01162-50/00367813

Открыть PDF

Каким может быть лечение?

Выравнивание зубов, устранение проблем с прикусом может иметь самые разные формы. Доктора клиники «Интердентос» в Мытищах внимательно изучат каждый конкретный случай и порекомендуют наиболее уместное для пациента лечение. Обычно выбирается одна из трёх основных методик:

  • Миобрейс (незаметные на зубах пластинки для «ночного ношения», исправляющие небольшие дефекты прикуса).
  • Использование ортодонтических съёмных пластин.
  • Несъёмные брекет-системы (они могут быть как классическими металлическими, так и пластмассовыми, сапфировыми, керамическими и т.д.).

Доктора помогут решить и проблему эстетичности конструкций. Например, специалисты могут предложить совершенно незаметные на зубах лингвальные брекеты, конструкции которые фиксируются на зубах с обратной стороны и остаются совершенно незаметными ни при разговоре, ни при улыбке. Это поможет сделать лечение наиболее комфортным, эстетичным и приятным. Обращайтесь в клинику «Интердентос», и сделайте уверенный шаг к красоте ваших зубов!

Консилиум врачей в подарок Получить подарок