Ежедневно с 8:00 до 21:00

+7 (495) 151-05-51

ул. Лётная, 21/1

+7 (495) 989-72-72

ул Ак. Каргина, 21

+7 (495) 104-42-00

Отдел качества

+7 (495) 801-68-68

Общий телефон

+7 (495) 151-05-51

ул. Лётная, 21/1

+7 (495) 989-72-72

ул Ак. Каргина, 21

+7 (495) 104-42-00

Отдел качества

Ежедневно с 8:00 до 21:00

Взрослая стоматология
+7 (495) 801-68-68

Общий телефон

+7 (495) 151-05-51

ул. Лётная, 21/1

+7 (495) 989-72-72

ул Ак. Каргина, 21

+7 (495) 104-42-00

Отдел качества

Взрослая стоматология

Эстетическая стоматология

Красивая улыбка — это ключ к уверенности и успеху. Современная эстетическая стоматология сети клиник «Интердентос» предлагает комплексный подход к созданию идеальной улыбки. Мы используем передовые технологии, такие как цифровая система CEREC для создания виниров за 2 часа и клиническое отбеливание ZOOM 4. Наши врачи, работая с дентальными микроскопами и 3D-томографами, гарантируют высочайшую точность, естественность результата и полную безопасность. Верните себе возможность улыбаться открыто и радостно вместе с нами.
9 клиник

9 клиник

В 5 городах подмосковья:
Королёв, Мытищи, Щёлково, Пушкино и Балашиха.
с 1998 года

с 1998 года

Многолетний накопленный опыт и собственная научная база позволяет решать даже самые сложные случаи
250 тысяч пациентов

250 тысяч пациентов

Доверили нам своё здоровье.
80% из них
— пришли к нам по рекомендациям
-0

Технологии премиум-класса для безупречной эстетики вашей улыбки

В клиниках «Интердентос» эстетика и технология идут рука об руку. Мы оснастили наши кабинеты оборудованием мирового уровня, чтобы каждый этап — от диагностики до финальной коррекции — был прогнозируемым, комфортным и приводил к безупречному результату. Для планирования лечения мы используем 3D-сканеры и передовые томографы. Эти аппараты обеспечивают детальную визуализацию всей зубочелюстной системы, что позволяет врачу создать точный виртуальный план будущей улыбки, исключив любые риски.

Воплощение этого плана происходит с ювелирной точностью. Ключевая технология для реставрации — цифровая CAD/CAM система CEREC. Она позволяет изготовить и установить ultraтонкие виниры или накладки всего за одно посещение, примерно за 2 часа. Врач сканирует зубы интраоральным 3D-сканером, создает 3D-модель будущей реставрации, а затем она фрезеруется из цельного блока высококачественной керамики (Emax, Empress) прямо в клинике. Это означает отсутствие неудобных слепков, временных конструкций и многократных визитов. Для деликатной работы, например, при подготовке зубов под виниры, врачи используют дентальные микроскопы, что гарантирует максимальное сохранение здоровых тканей.

Быстрая запись на приём

Оставьте номер телефона и администратор перезвонит Вам в течение 5 минут.

img

Спасибо!

Наши специалисты свяжутся с вами в ближайшее время.

Ежедневно с 8:00 до 21:00

+7 (495) 801-68-68

Общий телефон

+7 (495) 151-05-51

ул. Лётная, 21/1

+7 (495) 989-72-72

ул Ак. Каргина, 21

+7 (495) 104-42-00

Отдел качества

Услуги

Услуги

Наше оборудование

CEREC - технология художественной реставрации зубов за 2 часа

CEREC - технология художественной реставрации зубов за 2 часа

CAD/CAM система CEREC позволяет проводить лечение и протезирование зубов быстро и с высокой точностью – благодаря специальному сканеру, воспроизводящему модель зуба в 3D. CEREC Omnicam, MEDIT  i700,  PrimeScan.
Дентальный микроскоп

Дентальный микроскоп

Использование ультрасовременных дентальных микроскопов создает уникальные возможности для спасения «безнадежных зубов». Микроскопы:  Advanced,  Karl Kaps,  Carl Zeiss EXTARO 300, Prima D с вариоскопом.
3D томограф Galileos

3D томограф Galileos

Охватывает всю зубочелюстную систему, включая пазухи. А благодаря 3D-моделированию аппарат  позволяет повысить диагностическую точность и виртуально спланировать наиболее эффективное лечение.
Дентальный компьютерный томограф Planmeca ProMax

Дентальный компьютерный томограф Planmeca ProMax

Уникальный компьютерный томограф для качественной диагностики  и планирования лечения
Sleeper One - электронная система анестезии

Sleeper One - электронная система анестезии

Система анестезии нового поколения, объём, скорость и давление подачи препарата контролируется электронной системой. Специальные иглы обеспечивают безболезненность и снижают травматичность тканей.
ICON - лечение кариеса без препарирования

ICON - лечение кариеса без препарирования

ICON - специальный препарат в виде геля, который наносится на участок зуба и глубоко проникает в его ткани, уничтожая кариозные образования и укрепляя ткани зуба.
SAF - революция в лечении зубных каналов

SAF - революция в лечении зубных каналов

Самоадаптирующийся файл из сплава никеля и титана - эффективен в самых сложных случаях лечения каналов, максимально сохраняет здоровые ткани и форму каналов.
Стоматологическая установка DENTSPLY SIRONA

Стоматологическая установка DENTSPLY SIRONA

Признаны стоматологами во всём мире, как наиболее совершенные и комфортные, обладающие передовыми характеристиками. Обладают наградами iF Design Gold Award и German Design Award.
Интраоральный 3D-сканер

Интраоральный 3D-сканер

3D-сканирование можно назвать новым стандартом в стоматологической практике, который становится всё более распространенным. 3D-сканер позволяет достичь высочайшей точности и качества в протезировании.

Цены на эстетическую стоматологию

Все цены

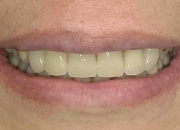
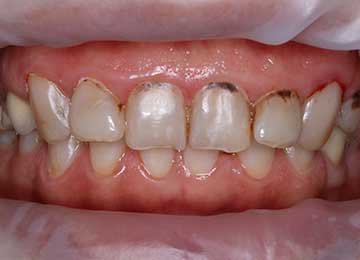
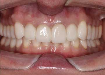
Эстетическая стоматология: фото До и После

Фото ДО
Фото ПОСЛЕ

Наведите для просмотра

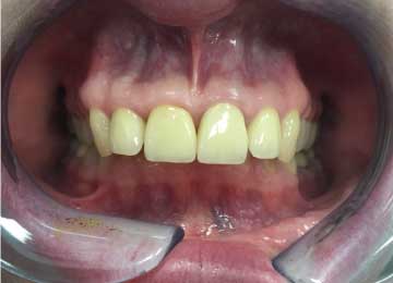
Отбеливание зубов

Фото ДО
Фото ПОСЛЕ

Наведите для просмотра

Отбеливание зубов

Фото ДО
Фото ПОСЛЕ

Наведите для просмотра

Виниры

Фото ДО
Фото ПОСЛЕ

Наведите для просмотра

Виниры

Фото ДО
Фото ПОСЛЕ

Наведите для просмотра

Виниры

Фото ДО
Фото ПОСЛЕ

Наведите для просмотра

Отбеливание зубов

Фото ДО
Фото ПОСЛЕ

Наведите для просмотра

Отбеливание зубов

Наши клиники

Клиника Интегративной Стоматологии

Клиника в г. Мытищи, ул. Ак.Каргина

Наши лицензии

Лечение проводится на основании действующих медицинских лицензий Л041-01162-50/00360420 и Л041-01162-50/00367813. Это гарантирует, что все процедуры — от диагностики до реставрации — выполняются безопасно, с использованием сертифицированных материалов и оборудования, в строгом соответствии с российскими стандартами.

Л041-01162-50/00360420 Л041-01162-50/00360420

Открыть PDF
Л041-01162-50/00367813-1 Л041-01162-50/00367813

Л041-01162-50/00367813-2 Л041-01162-50/00367813

Л041-01162-50/00367813-3 Л041-01162-50/00367813

Л041-01162-50/00367813-4 Л041-01162-50/00367813

Л041-01162-50/00367813-5 Л041-01162-50/00367813

Л041-01162-50/00367813-6 Л041-01162-50/00367813

Л041-01162-50/00367813-7 Л041-01162-50/00367813

Л041-01162-50/00367813-8 Л041-01162-50/00367813

Л041-01162-50/00367813 Л041-01162-50/00367813

Открыть PDF

Эстетическая стоматология в Мытищах: путь к идеальной улыбке за пару визитов

Ищете, где сделать виниры или профессиональное отбеливание зубов в Мытищах? Стоматологическая сеть «Интердентос», работающая с 1998 года, предлагает полный спектр современных эстетических решений. Наша философия — сочетание проверенных временем методик и новейших технологий для создания естественной, гармоничной и долговечной улыбки. Мы понимаем, что каждая улыбка уникальна, поэтому не предлагаем шаблонных решений, а разрабатываем индивидуальный план для каждого пациента.

Основные услуги в нашем отделении эстетической стоматологии включают установку керамических виниров и профессиональное отбеливание. Виниры — это тончайшие пластинки, которые фиксируются на переднюю поверхность зубов, чтобы исправить цвет, форму, небольшую кривизну или закрыть щели. В «Интердентос» мы изготавливаем их по цифровой технологии CEREC из премиальной керамики, что позволяет получить результат за один день. Для тех, кто хочет осветлить собственную эмаль, мы предлагаем клиническое отбеливание системой ZOOM 4 — одну из самых эффективных и быстрых методик в мире. Все процедуры проводятся с применением микроскопов и 3D-диагностики, что обеспечивает безопасность и высочайшее качество. Мы гордимся тем, что наши пациенты надежно защищены, в том числе от вирусных инфекций, благодаря строжайшим стандартам стерилизации.

Выбирая «Интердентос», вы выбираете команду экспертов с собственной научной базой, работающую на оборудовании от ведущих мировых брендов (DENTSPLY SIRONA, Drägerwerk AG).

Консилиум врачей в подарок Получить подарок