Ежедневно с 8:00 до 21:00

+7 (495) 151-05-51

ул. Лётная, 21/1

+7 (495) 989-72-72

ул Ак. Каргина, 21

+7 (495) 104-42-00

Отдел качества

+7 (495) 801-68-68

Общий телефон

+7 (495) 151-05-51

ул. Лётная, 21/1

+7 (495) 989-72-72

ул Ак. Каргина, 21

+7 (495) 104-42-00

Отдел качества

Ежедневно с 8:00 до 21:00

Взрослая стоматология
+7 (495) 801-68-68

Общий телефон

+7 (495) 151-05-51

ул. Лётная, 21/1

+7 (495) 989-72-72

ул Ак. Каргина, 21

+7 (495) 104-42-00

Отдел качества

Взрослая стоматология

Заведующая отделением, Ортопед

Винокурова Александра Александровна

  • Специалист по сложной эстетической и функциональной реабилитации
  • Эксперт по  протезированию в концепции all on 4, all on 6. 
  • Эстетическая реконструкция улыбки.
Винокурова Александра Александровна
Александра Александровна - ведущий стоматолог-ортопед медицинского центра, кандидат медицинских наук с более чем 22-летним стажем работы. В течение многих лет она преданно занимается стоматологией, обогащая свой опыт и знания, что делает ее одним из самых авторитетных специалистов в области стоматологии.

Она специализируется на эстетической реставрации улыбки с использованием виниров, что позволяет ей создавать идеальные улыбки для своих пациентов. Она также виртуозно выполняет все виды ортопедических конструкций и является экспертом в создании высокоэстетичных коронок на имплантатах - одном из самых сложных видов работ в области стоматологии.

Врач также уделяет особое внимание индивидуальному подходу к каждому пациенту, стремясь создать доверительную атмосферу и обеспечить максимальный комфорт во время приема. Пациенты остаются довольны результатами работы доктора и ценят ее заботу и мастерство.

Стаж работы

20 лет

Принимает клиниках

  • пр. Космонавтов, 11
  • ул. Лëтная, 21/1

Специализация

  • Заведующая отделением
  • Ортопед

Сертификаты

1579
1580
1581
1582
1583
1584
1585
1586
1587
1588
1589
1590
1591
1592
1593
1594
1595

Отзывы по врачу

Читать все отзывы

Врач: Винокурова Александра Александровна

Моя 80-летняя мама стеснялась выходить из дома без зубов. Винокурова сделала ей удобные протезы, которые не болтаются и не выпадают. Теперь она снова печёт пироги и улыбается во весь рот!...
Моя 80-летняя мама стеснялась выходить из дома без зубов. Винокурова сделала ей удобные протезы, которые не болтаются и не выпадают. Теперь она снова печёт пироги и улыбается во весь рот!
Показать весь отзыв

Врач: Винокурова Александра Александровна

Ждал подвоха - везде пытались впарить дорогущий металлокерамику. Александра Александровна честно сказала: "В вашем случае хватит и циркония". Год прошёл - как новые, хоть орехи грызи! Вот что значит настоящий профессионал....
Ждал подвоха - везде пытались впарить дорогущий металлокерамику. Александра Александровна честно сказала: "В вашем случае хватит и циркония". Год прошёл - как новые, хоть орехи грызи! Вот что значит настоящий профессионал.
Показать весь отзыв

Врач: Винокурова Александра Александровна

Пришла с ужасными пломбами на передних зубах. Доктор Винокурова за один приём сделала керамические виниры - теперь у меня голливудская улыбка! Подружки думают, что я на отбеливание потратила кучу денег, а это всего лишь мастерство врача)...
Пришла с ужасными пломбами на передних зубах. Доктор Винокурова за один приём сделала керамические виниры - теперь у меня голливудская улыбка! Подружки думают, что я на отбеливание потратила кучу денег, а это всего лишь мастерство врача)
Показать весь отзыв

Врач: Винокурова Александра Александровна

10 лет мучился со съемными протезами - все текло, натирало, выпадало. Александра Александровна сделала мне несъемные мосты - теперь ем даже орехи! Жена говорит, что я как будто помолодел на 10 лет. Спасибо за новую жизнь!...
10 лет мучился со съемными протезами - все текло, натирало, выпадало. Александра Александровна сделала мне несъемные мосты - теперь ем даже орехи! Жена говорит, что я как будто помолодел на 10 лет. Спасибо за новую жизнь!
Показать весь отзыв

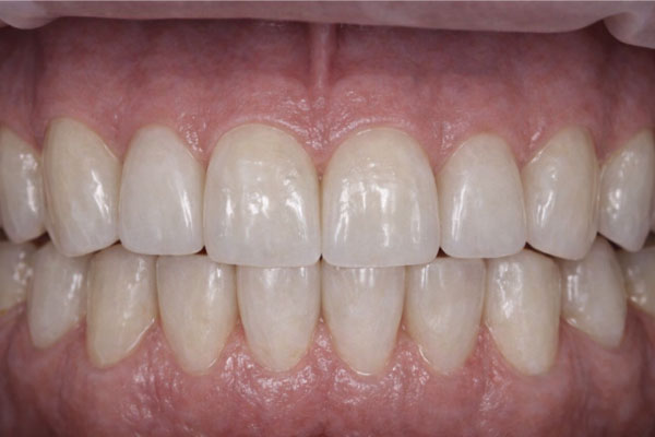
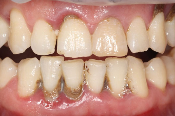
Работы врача

Фото ДО
Фото ПОСЛЕ

Наведите для просмотра

Циркониевые коронки

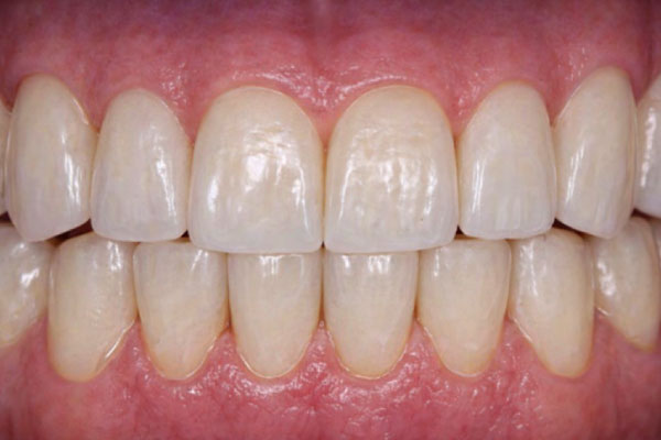
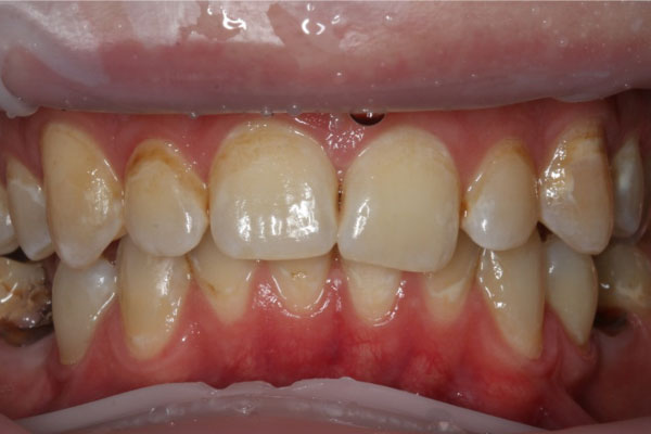
Фото ДО
Фото ПОСЛЕ

Наведите для просмотра

Циркониевые коронки

Фото ДО
Фото ПОСЛЕ

Наведите для просмотра

Циркониевые коронки

Клиники, в которых принимает специалист

Клиника «Эксперт»

Клиника Интегративной Стоматологии

Консилиум врачей в подарок Получить подарок