Ежедневно с 8:00 до 21:00

+7 (495) 151-05-51

ул. Лётная, 21/1

+7 (495) 989-72-72

ул Ак. Каргина, 21

+7 (495) 104-42-00

Отдел качества

+7 (495) 801-68-68

Общий телефон

+7 (495) 151-05-51

ул. Лётная, 21/1

+7 (495) 989-72-72

ул Ак. Каргина, 21

+7 (495) 104-42-00

Отдел качества

Ежедневно с 8:00 до 21:00

Взрослая стоматология
+7 (495) 801-68-68

Общий телефон

+7 (495) 151-05-51

ул. Лётная, 21/1

+7 (495) 989-72-72

ул Ак. Каргина, 21

+7 (495) 104-42-00

Отдел качества

Взрослая стоматология

Гигиенист

Шамаева Дарья Сергеевна

  • Эксперт по методикам фторпрофилактики и реминерализующей терапии
  • Профессиональная гигиена полости рта по GBT протоколу
  • Индивидуальный подбор средств гигиены
Шамаева Дарья Сергеевна
Дарья Сергеевна - стоматологический гигиенист, который делает всё, чтобы пациенты как можно реже сталкивались с серьёзным лечением. Она убеждена: грамотная профилактика сохраняет зубы здоровыми, а её задача профессиональная гигиена, обучение домашнему уходу и бережное сопровождение пациентов с брекетами и сложными конструкциями.

Её подход строится на постоянном обучении и следовании мировым стандартам. Дарья Сергеевна прошла курсы по современным тенденциям профилактики, несколько уровней программы iTop, обучение работе по международному протоколу лечения воспалительных заболеваний пародонта, а также курс по эстетической реабилитации при флюорозе. Она не просто проводит гигиену, а выстраивает для каждого пациента персональную систему ухода: подбирает средства, учит правильной технике и показывает, как избежать скопления налёта в повседневной жизни.

Пациенты ценят Дарью Сергеевну за деликатность, мягкость и понятные объяснения. С ней легко перестать стесняться неидеальной гигиены и начать по-настоящему заботиться о зубах и дёснах через уважительный диалог и маленькие шаги, которые реально работают.

Стаж работы

5 лет

Принимает клиниках

  • г. Королёв, пр. Космонавтов, 37
  • г. Королёв, ул. Терешковой 8/28
  • Клиника в г. Мытищи, ул. Ак.Каргина

Специализация

  • Гигиенист

Сертификаты

1452
1453
1454
1455
1456
1457
1458
1459

Отзывы по врачу

Читать все отзывы

Врач: Шамаева Дарья Сергеевна

Хочу выразить огромную благодарность Дарье Сергеевне за ее работу! Я пришла к ней с серьезными проблемами с деснами, и она предложила комплексное решение. После нескольких сеансов мой стоматолог заметил значительное улучшение. Дарья Сергеевна — насто...
Хочу выразить огромную благодарность Дарье Сергеевне за ее работу! Я пришла к ней с серьезными проблемами с деснами, и она предложила комплексное решение. После нескольких сеансов мой стоматолог заметил значительное улучшение. Дарья Сергеевна — настоящий профессионал, который заботится о здоровье своих пациентов.
Показать весь отзыв

Врач: Шамаева Дарья Сергеевна

Я всегда боялся стоматологов, но Дарья Сергеевна смогла меня успокоить. Она очень терпеливо объяснила, что будет происходить во время чистки, и это помогло мне расслабиться. Процедура прошла быстро и безболезненно. Теперь я понимаю, почему важно регу...
Я всегда боялся стоматологов, но Дарья Сергеевна смогла меня успокоить. Она очень терпеливо объяснила, что будет происходить во время чистки, и это помогло мне расслабиться. Процедура прошла быстро и безболезненно. Теперь я понимаю, почему важно регулярно посещать гигиениста — зубы действительно становятся намного лучше!
Показать весь отзыв

Врач: Шамаева Дарья Сергеевна

Мне нужна была экстренная помощь перед важным мероприятием, и Дарья Сергеевна помогла мне буквально за час. Она быстро и качественно выполнила чистку, а также сделала отбеливание. Теперь мои зубы выглядят идеально белыми и здоровыми. Очень благодарен...
Мне нужна была экстренная помощь перед важным мероприятием, и Дарья Сергеевна помогла мне буквально за час. Она быстро и качественно выполнила чистку, а также сделала отбеливание. Теперь мои зубы выглядят идеально белыми и здоровыми. Очень благодарен за профессионализм и человеческое отношение!
Показать весь отзыв

Врач: Шамаева Дарья Сергеевна

Дарья Сергеевна — профессионал своего дела! Я хожу к ней уже второй раз, и каждый раз она находит время для подробного разговора о состоянии моих зубов. Особенно мне понравилось, как она аккуратно провела чистку и не причинила никакого дискомфорта. П...
Дарья Сергеевна — профессионал своего дела! Я хожу к ней уже второй раз, и каждый раз она находит время для подробного разговора о состоянии моих зубов. Особенно мне понравилось, как она аккуратно провела чистку и не причинила никакого дискомфорта. После процедуры я почувствовала, что мои зубы стали намного чище и здоровее. Рекомендую всем!
Показать весь отзыв

Врач: Шамаева Дарья Сергеевна

Я обратилась к Дарье Сергеевне по рекомендации подруги, и теперь я полностью ей доверяю. Она очень внимательно отнеслась к моей проблеме с зубами и деснами. Процедура чистки прошла безболезненно, хотя я всегда боялась таких процедур. Дарья Сергеевна ...
Я обратилась к Дарье Сергеевне по рекомендации подруги, и теперь я полностью ей доверяю. Она очень внимательно отнеслась к моей проблеме с зубами и деснами. Процедура чистки прошла безболезненно, хотя я всегда боялась таких процедур. Дарья Сергеевна объяснила все этапы процедуры и дала полезные советы по уходу за полостью рта. Теперь я чувствую себя увереннее в своей улыбке!
Показать весь отзыв

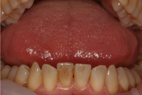
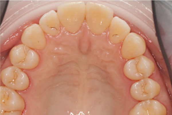
Работы врача

Фото ДО
Фото ПОСЛЕ

Наведите для просмотра

Гигиена полости рта

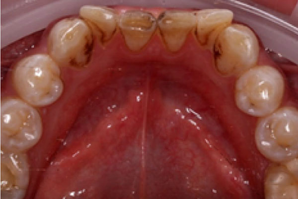
Фото ДО
Фото ПОСЛЕ

Наведите для просмотра

Гигиена полости рта

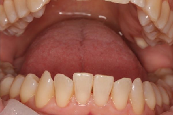
Фото ДО
Фото ПОСЛЕ

Наведите для просмотра

Гигиена полости рта

Клиники, в которых принимает специалист

Центр экспертной ортодонтии и цифровой стоматологии

Клиника экстренной помощи

Клиника в г. Мытищи, ул. Ак.Каргина

Консилиум врачей в подарок Получить подарок