Ежедневно с 8:00 до 21:00

+7 (495) 151-05-51

ул. Лётная, 21/1

+7 (495) 989-72-72

ул Ак. Каргина, 21

+7 (495) 104-42-00

Отдел качества

+7 (495) 801-68-68

Общий телефон

+7 (495) 151-05-51

ул. Лётная, 21/1

+7 (495) 989-72-72

ул Ак. Каргина, 21

+7 (495) 104-42-00

Отдел качества

Ежедневно с 8:00 до 21:00

Взрослая стоматология
+7 (495) 801-68-68

Общий телефон

+7 (495) 151-05-51

ул. Лётная, 21/1

+7 (495) 989-72-72

ул Ак. Каргина, 21

+7 (495) 104-42-00

Отдел качества

Взрослая стоматология

Стоматолог, Стоматолог детский

Копылова Анастасия Владимировна

  • Проводит лечение в наркозе, в седации (закись азота)
  • Эксперт малоинвазивных технологии в детской стоматологии, лечение начального кариеса без бормашин
  • Специализируется на адаптации детей с негативным опытом.
Копылова Анастасия Владимировна
Анастасия Владимировна, ведущий врач-стоматолог медицинского центра, обладает огромным опытом работы в этой сфере – более 20 лет. Ее профессионализм позволяет успешно вести прием детей и взрослых, предоставляя широкий спектр стоматологических услуг.

Доктор владеет передовыми технологиями в лечении и реставрации молочных и постоянных зубов. Она осуществляет эндодонтию, реставрацию и протезирование зубов различными методами, также работает с детскими коронками и Церек, проводит реабилитацию детей с травмами зубов. Специалист успешно лечит постоянные зубы у детей с несформированными корнями и проводит лечение зубов под наркозом, седацией и местной анестезией. Лечение кариеса, включая эндодонтическое лечение, осуществляется под контролем микроскопа, что обеспечивает высокую точность и эффективность.

Доктор - настоящий семейный врач, который находит индивидуальный подход к детям, мягко адаптируя их к приему и лечению. Она принимает детей любого возраста и заслуживает доверия родителей маленьких пациентов, так как обладает чутким подходом и вниманием к каждому случаю. Многие пациенты приходят на обслуживание целыми семьями благодаря внимательности и профессионализму доктора.

Анастасия Владимировна отличается очень коммуникабельным, чутким и внимательным характером, что делает ее незаменимым специалистом в области стоматологии и любимым доктором для многих пациентов и их семей.

Стаж работы

20 лет

Принимает клиниках

  • Клиника в г. Мытищи, ул. Ак.Каргина

Специализация

  • Стоматолог
  • Стоматолог детский

Сертификаты

1693
1694
1695
1696
1697
1698
1699
1700
1701
1702
1703

Отзывы по врачу

Читать все отзывы

Врач: Копылова Анастасия Владимировна


Копылова Анастасия Владимировна очень хороший детский стоматолог, все делает очень аккуратно. Я боялась лечить зубы, благодаря Анастасии Владимировне – больше не боюсь. Огромное ей спасибо. От Барановской Виктории.

...
<p>
Копылова Анастасия Владимировна очень хороший детский стоматолог, все делает очень аккуратно. Я боялась лечить зубы, благодаря Анастасии Владимировне – больше не боюсь. Огромное ей спасибо. От Барановской Виктории.
</p>
Показать весь отзыв

Врач: Копылова Анастасия Владимировна


Хочу выразить огромную благодарность Анастасии Владимировне и медсестре Жебруновой Жанне Викторовне, которая с ней работает. У нас был неудачный опыт лечения молочных зубов и ребенок после этого очень боялся не только стоматологов, н...

<p>
Хочу выразить огромную благодарность Анастасии Владимировне и медсестре Жебруновой Жанне Викторовне, которая с ней работает. У нас был неудачный опыт лечения молочных зубов и ребенок после этого очень боялся не только стоматологов, но и в целом всех врачей. Мы много где были, пытались, но все безуспешно. Только Анастасия Владимировна смогла найти подход к моему сыну, за что ей огромное спасибо. 
</p>
<p>
Пролечили три зуба под седацией, поставили коронки. Ребенка не надо уговаривать, сам едет с удовольствием, ждет с нетерпением встречи с доктором. Когда проезжаем мимо стоматологии Интердентос, всегда говорит "это наш зубной доктор, я там лечу зубки" И никаких слез и страха, все встречи проходят с улыбками на позитиве.<br>
Все мои чувства и эмоции не выразить в таком коротком сообщении. 
</p>
<p>
Я очень благодарна Анастасии Владимировне и Жанне Викторовне. Они настоящие волшебницы, наши зубные феи!
</p>
<p>
 
</p>
Показать весь отзыв

Врач: Копылова Анастасия Владимировна

Анастасия Владимировна наша зубная фея, с ней не страшно! (Маме точно) Прошли бой с кариесом на молочных зубах и держим оборону на уже коренных. Замечательный доктор...
Анастасия Владимировна наша зубная фея, с ней не страшно! (Маме точно) Прошли бой с кариесом на молочных зубах и держим оборону на уже коренных. Замечательный доктор
Показать весь отзыв

Врач: Копылова Анастасия Владимировна

Большое спасибо слаженной работе врачей. Ребёнку 3 года лечили кариес под седацией. С улыбкой, мультиками и хорошим настроением прошло лечение.
Никакого страха от посещения стоматолога не осталось.
Замечательные врачи и прекрасное оборудо...
Большое спасибо слаженной работе врачей. Ребёнку 3 года лечили кариес под седацией. С улыбкой, мультиками и хорошим настроением прошло лечение.
Никакого страха от посещения стоматолога не осталось.
Замечательные врачи и прекрасное оборудование клиники.
Показать весь отзыв

Врач: Копылова Анастасия Владимировна

Спасибо огромное нашему врачу Копыловой А.В. Лечили зубки ,дочке 4 года ,в клинике Интердентос в г. Мытищи под общим наркозом и седацией, все прошло на высшем уровне, окружили вниманием и заботой. Доктор помогла правильно составить план лечения. Я оч...
Спасибо огромное нашему врачу Копыловой А.В. Лечили зубки ,дочке 4 года ,в клинике Интердентос в г. Мытищи под общим наркозом и седацией, все прошло на высшем уровне, окружили вниманием и заботой. Доктор помогла правильно составить план лечения. Я очень переживала за предстоящее лечение,но была крайне удивлена  высокой квалификацией врача, мы полностью избавились от кариеса и пульпита.  Спасибо огромное! Желаю успехов в Вашем нелегком труде, процветания, крепкого здоровья и всего самого доброго!
Показать весь отзыв

Врач: Копылова Анастасия Владимировна

Хотела поблагодарить весь персонал стоматологической клиники Интердентос за помощь и успокоение родительских нервов! Начну по порядку:  дочке было 1г 10 мес. - бутылочный кариес на трёх передних зубах. Пришли в эту клинику, сказали, что нужно ле...
Хотела поблагодарить весь персонал стоматологической клиники Интердентос за помощь и успокоение родительских нервов! Начну по порядку:  дочке было 1г 10 мес. - бутылочный кариес на трёх передних зубах. Пришли в эту клинику, сказали, что нужно лечить и ставить коронки. Лечат таким деткам только под наркозом - я в панике, как таким маленьким и наркоз... Пришли в городскую поликлиннику, прошли курсом глубокое фторирование... Ну что сказать.. отсрочили неизбежное. Верхняя единица откололась и кариес прогрессирует. Повторно пришли на консультацию к доктору Копыловой А.В. Она просто чудо! С детками умеет ладить, все объяснит и покажет и отвлечет и успокоит. Пришли затем к анастезиологу, всё рассказали, теперь мое родительское сердце спокойно и я не переживаю. Скоро предстоит лечение, установка коронок и герметизация фиссур. Я считаю, что деткам нужно лечить молочные зубки, чтобы избежать плачевных последствий, сама через это прошла и врагу не пожелаешь, не то, что собственному ребенку! Так что рекомендую, если случилось так, что ребенку нужна помощь с зубками - смело обращаться и Вам обязательно помогут! Административный персонал грамотный, сориентирует быстро, а интерьер центра отвлечет вашего малыша. Здоровья всем и процветания! 
Показать весь отзыв

Врач: Копылова Анастасия Владимировна

Добрый день. Хочу поблагодарить доктора Копылову А.В.  Наблюдаюсь у доктора с 2011 г. Лечение  всегда безупречное. Внимательная, аккуратная. Доктор - мастер своего дела.  Спасибо!...
Добрый день. Хочу поблагодарить доктора Копылову А.В.  Наблюдаюсь у доктора с 2011 г. Лечение  всегда безупречное. Внимательная, аккуратная. Доктор - мастер своего дела.  Спасибо!
Показать весь отзыв

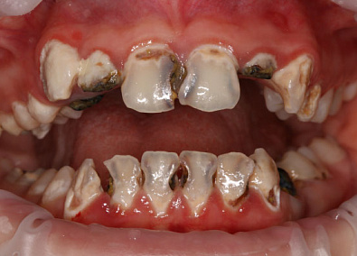
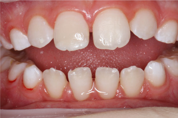
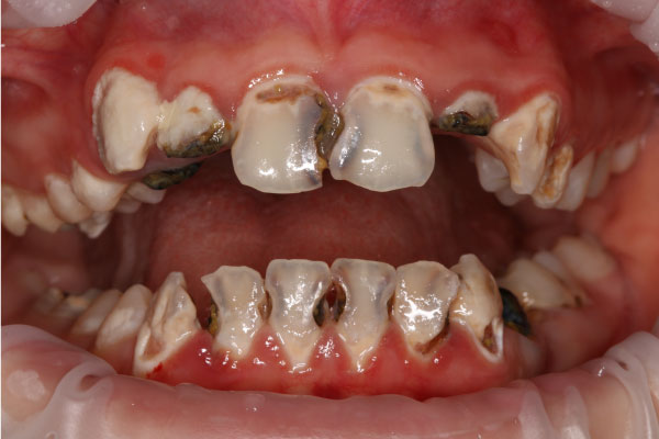
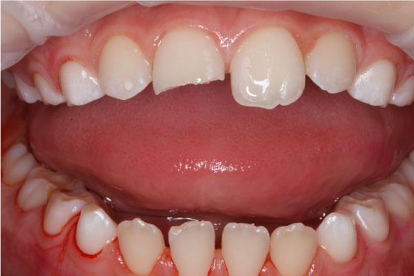
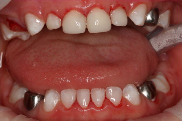
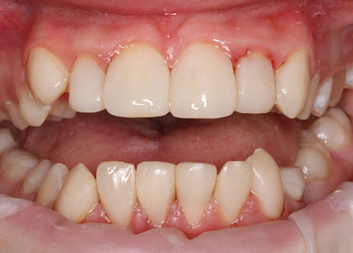
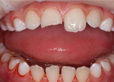
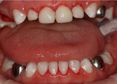
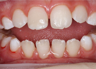
Работы врача

Фото ДО
Фото ПОСЛЕ

Наведите для просмотра

Восстановление зуба после травмы

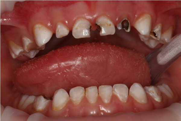
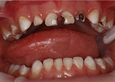
Фото ДО
Фото ПОСЛЕ

Наведите для просмотра

Реставрация молочных зубов

Фото ДО
Фото ПОСЛЕ

Наведите для просмотра

Реставрация молочных зубов

Клиники, в которых принимает специалист

Клиника в г. Мытищи, ул. Ак.Каргина

Консилиум врачей в подарок Получить подарок