Ежедневно с 8:00 до 21:00

+7 (495) 151-05-51

ул. Лётная, 21/1

+7 (495) 989-72-72

ул Ак. Каргина, 21

+7 (495) 104-42-00

Отдел качества

+7 (495) 801-68-68

Общий телефон

+7 (495) 151-05-51

ул. Лётная, 21/1

+7 (495) 989-72-72

ул Ак. Каргина, 21

+7 (495) 104-42-00

Отдел качества

Ежедневно с 8:00 до 21:00

Взрослая стоматология
+7 (495) 801-68-68

Общий телефон

+7 (495) 151-05-51

ул. Лётная, 21/1

+7 (495) 989-72-72

ул Ак. Каргина, 21

+7 (495) 104-42-00

Отдел качества

Взрослая стоматология

Стоматолог, Стоматолог детский

Федосеенкова Инна Александровна

  • Эксперт по восстановлению зубов после травм (сколы, вывихи).
  • Контроль и лечение начального кариеса без препарирования (технология ICON).
  • Владеет методикой психологической адаптация взрослых пациентов к стоматологическому приему.
Федосеенкова Инна Александровна
Инна Александровна - замечательный врач высшей категории медицинского центра, обладающий более чем 20-летним стажем работы. Ведет прием детей и взрослых. Доктор специализируется на терапевтической и эстетической стоматологии, что позволяет ей успешно решать задачи любой сложности, начиная от восстановления зубов после травм и заканчивая работой с аномальной формой зубов.

Одним из ярких достижений Инны Александровны является победа во Всероссийском конкурсе по Эстетической Стоматологии, что подчеркивает ее высокий профессионализм и уровень мастерства. Работая с микроскопом и стоматологической оптикой, врач обеспечивает точность и качество при каждом вмешательстве.

Пациенты высоко ценят Инну Александровну за ее коммуникабельность, чуткость и внимательное отношение. Врач отлично находит общий язык с любым пациентом, а также с детьми любого возраста, что способствует созданию доверительной атмосферы на приеме. Благодаря своему уникальному подходу и профессионализму, Инна Александровна является желанным специалистом для всех, кто ценит качество и заботу о своем здоровье.

Стаж работы

15

Принимает клиниках

  • пр. Космонавтов, 11
  • ул. Лëтная, 21/1

Специализация

  • Стоматолог
  • Стоматолог детский

Сертификаты

366
367
368
369
370
371
372
373
374
375
376
377

Отзывы по врачу

Читать все отзывы

Врач: Федосеенкова Инна Александровна

Очень понравился врач. Чётко все по делу и профессионально!

Врач: Федосеенкова Инна Александровна

Благодарю замечательного специалиста и светлого человека Инну Александровну Федосеенкову за профессиональную работу и чуткое отношение при лечении сложного зуба.  Надеюсь на Вашу дальнейшую помощь!...
Благодарю замечательного специалиста и светлого человека Инну Александровну Федосеенкову за профессиональную работу и чуткое отношение при лечении сложного зуба.  Надеюсь на Вашу дальнейшую помощь!
Показать весь отзыв

Врач: Федосеенкова Инна Александровна

Очень хороший показатель качества выполненной работы - это отсутствие повторных обращений, что так же является показателем высокого профессионального уровня. Инна Александровна прекрасный тому пример...
Очень хороший показатель качества выполненной работы - это отсутствие повторных обращений, что так же является показателем высокого профессионального уровня. Инна Александровна прекрасный тому пример
Показать весь отзыв

Врач: Федосеенкова Инна Александровна

У Инны Александровны Федосеенковой наблюдаюсь уже более 8 лет. Зубы слабые с детства, плюс много было некачественных пломб, старого поколения :)
Инна Александровна постепенно пролечила все зубы, требующие этого. Дала несколько советов по до...
У Инны Александровны Федосеенковой наблюдаюсь уже более 8 лет. Зубы слабые с детства, плюс много было некачественных пломб, старого поколения :)
Инна Александровна постепенно пролечила все зубы, требующие этого. Дала несколько советов по домашнему уходу, к которым я прислушалась.
Сейчас раз в год хожу на гигиену, всегда стараюсь к ней попасть. И уже последние пять-шесть лет не было ни одного кариеса или каких то других проблем с зубами.
С ней всегда спокойно, я ей доверяю на все 100%! Настоящий мастер своего дела!
Мои две дочки тоже ходят к ней. Зубки отличные, старшей делаем иногда герметизацию-помоему так называется.
Муж был у Инны Александровны один раз, после его ни чего не беспокоило.
Знаю, что к ней многие пациенты приезжают регулярно из других городов и даже стран. И я их понимаю!
Рада, что есть этот Врач! Врач, который вылечивает! Врач которому доверяешь! И рекомендуешь своим друзьям!
Показать весь отзыв

Врач: Федосеенкова Инна Александровна

Хочу поблагодарить Инну Александровну Федосеенкову за профессионализм, скурпулезность! Инна Александровна мой лечащий врач уже 13 лет. Ее работу всегда узнают другие врачи- настолько аккуратно и профессионально она все делает. Инна Александровна уже ...
Хочу поблагодарить Инну Александровну Федосеенкову за профессионализм, скурпулезность! Инна Александровна мой лечащий врач уже 13 лет. Ее работу всегда узнают другие врачи- настолько аккуратно и профессионально она все делает. Инна Александровна уже несколько лет борется за мой один передний зуб. Он очень сложный, с множеством каналов, с кистой. Но благодаря ее усилиям зуб стоит до сих пор! Все  пломбы, которые она когда-либо поставила- стоят!! Никогда не пришлось что-нибудь перелечивать или переделывать! Инна Александровна- настоящий эксперт и большой профессионал своего дела!!
Показать весь отзыв

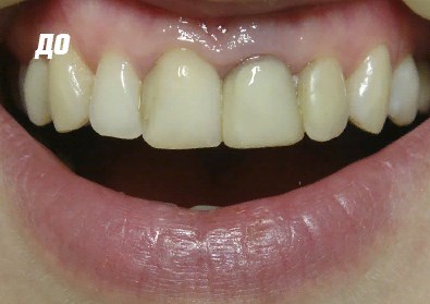
Работы врача

Фото ДО
Фото ПОСЛЕ

Наведите для просмотра

Реставрация фронтальной группы зубов

Клиники, в которых принимает специалист

Клиника «Эксперт»

Клиника Интегративной Стоматологии

Консилиум врачей в подарок Получить подарок