Профессиональная гигиена полости рта
Важнейшей составляющей здоровья и красоты зубов является не лечение, а профилактика заболеваний ротовой полости. И гигиена занимает в этом отношении первое место! Если чистить зубы после каждого приёма пищи, пользоваться ополаскивателем и стараться есть как можно меньше продуктов, разрушающих эмаль, то, скорее всего, стоматолог (если посещать его для профилактики дважды в год) вам не понадобится очень и очень долго!
Не меньшее значение играет и качество чистки зубов. К сожалению, в домашних условиях очень трудно полностью удалить мягкий и тем более твёрдый зубной налёт. В этом случае желательно не забывать об очень комфортной, приятной, безболезненной процедуре профессиональной чистки зубов, которую в клинике «Интердентос» в Мытищах выполнит профессиональный стоматолог-гигиенист.
Как проводится профессиональная гигиена полости рта?
Чистка зубов отличается комфортабельностью для пациента и совершенно не вызывает никакого дискомфорта. Осуществляется она в несколько этапов:
- При помощи специального ультразвукового скайлера бережно удаляются крупные зубные камни: это происходит при помощи создаваемых скайлером колебаний, который буквально «сбивает» каждый камень.
- Затем проводится удаление мягкого налёта аэрозольным методом: зубы обрабатываются составом: вода с мельчайшими абразивными частицами бережно очищает поверхность зубов от налёта. Благодаря этой процедуре зубы становятся светлее сразу на 1-2 тона.
- Чтобы устранить повышенную чувствительность зубов, стоматолог покрывает их поверхность специальным лаком или гелем с повышенным содержанием фтора.
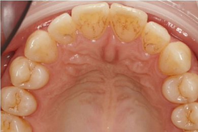
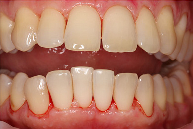
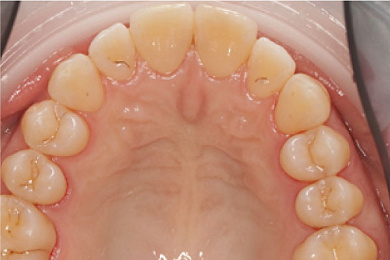
Результат лечения
Статьи
Врачи гигиенисты
Цены на гигиену полости рта
Наши лицензии:
Для чего нужна профессиональная гигиена
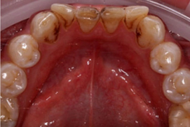
Нередко даже при хорошей гигиене полости рта на зубах образуется мягкий налёт, который в дальнейшем покрывает весь зуб и начинает отвердевать, постепенно превращаясь в зубной камень, который может провоцировать многие заболевания зубного ряда некариозного характера.
Профессиональная гигиена полости рта необходима не только для профилактики образования зубного камня, но и перед любым стоматологическим лечением:
- перед протезированием: профессиональная чистка зубов позволяет избежать покрытия протеза микробным налётом, что продляет срок его службы;
- при лечении заболеваний дёсен: профессиональная гигиена зубов помогает бороться с отложениями на эмали, противостоит осложнениям при лечении пародонтоза;
- при лечении кариеса: удаление налёта облегчает доступ к тканям, поражённым кариесом, упрощает процесс лечения и делает гораздо более эффективным использование современных реставрационных материалов.
Профессиональная чистка зубов должна проводиться раз в 6-12 месяцев, иногда – 1 раз в 2 года. Это значительно облегчит работу стоматологов, а возможно, и избавит от необходимости лечения, поскольку процедура является мощным профилактическим мероприятием.
Дополнительная забота
В качестве дополнительного метода противостояния кариесу и прочим заболеваниям полости рта можно применять ремтерапию. Это особая процедура, которую можно не только провести в кабинете у стоматолога, но и дома: для этого потребуется приобрести специальный набор в линике «Интердентос» в Мытищах и выполнить обработку зубов по инструкции в упаковке набора.
Реминерализация, или ремтерапия, представляет собой обработку поверхности зубов специальными составами, обогащёнными фосфором и кальцием, которые укрепляют зубную эмаль и эффективно противостоят её разрушению.
Показания для реминерализации зубной эмали
Реминерализация является совершенно безболезненной и даже приятной процедурой, которую, кроме того, можно проводить в дома. Она рекомендуется в следующих случаях:
- при лечении кариеса (позволяет продлить срок службы пломб);
- для профилактики появления кариеса (благодаря реминерализации повышается устойчивость эмали к разрушению);
- после процедуры отбеливания зубов (эмаль становится более прочной);
- при повышенной чувствительности зубов: реминералиация помогает укрепить эмаль и, как следствие, чувствительность значительно снижается.
Процедура совершенно безопасна, а потому её рекомендуют и взрослым, и даже детям, у которых эмаль молочных зубов незрелая и очень хрупкая.
В медицинском центре «Интердентос» в Мытищах вы всегда получите квалифицированную помощь профессиональных стоматологов-гигиенистов. Мы гарантируем великолепное качество работы и доступную стоимость услуг!
Отзывы наших пациентов:
Каждые 6-9 месяцев хожу на чистку зубов. Недавно сходил - прикрыл шейки зубов, а также сделал отбеливание Zoom. Врач работает быстро, четко, все разъясняет подробно. Веселая.

группа Вконтакте
канал в Телеграм



Семейная клиника
Клиника интегративной стоматологии