Имплантация зубов All on 4
Современная методика «Аll on 4» потрясает новыми возможностями восстановления зубного ряда. Сегодня можно устанавливать искусственные импланты, даже если утрачены все зубы, при этом не придется монтировать каждый зуб отдельно. Самая «компактная» методика – «Аll on 4», когда устанавливается четыре импланта и на них укрепляются все остальные коронки. При этом получаются прочные и красивые, естественные зубы, которые отлично справляются с жевательными функциями, даже лучше, чем свои зубы.
Клиника «Интердентос» в Мытищах приглашает всех, кто нуждается в имплантации зубов при соответствующих показаниях обратиться к нам для применения методики «Все на 4», которая поможет восстановить функционал жевания, красоту и эстетичность улыбки.
Полное протезирование по методике «Все на 4» позволит избежать лишних трат.
Имплантация зубов «Все на 4»
Одноэтапный протокол «All-on-4» предусматривает установку временных коронок сразу на импланты, в течение трех дней. Срок использования адаптационного протеза после имплантации зубов иногда доходит до трех лет, в течение которых вы можете пользоваться зубами и пережевывать любую пищу.
Затем проводится замена протеза.
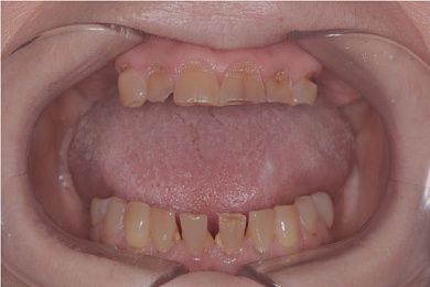
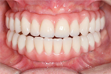
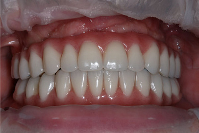
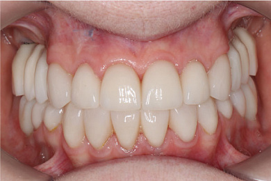
Имплантация All on 4: фото До и После
Врач: Лыков Андрей Сергеевич
Врач: Лыков Андрей Сергеевич
Врач: Есаян Андраник Суренович
Врач: Павлов Михаил Алексеевич
Врач: Павлов Михаил Алексеевич
Врач: Павлов Михаил Алексеевич
Врачи имплантологи
Цены на имплантацию All on 4
Наши лицензии:
Технология имплантации зубов All on 4

Авторами метода стали разработчики компании «Nobel Biocare», которые позаботились о пациентах с полной адентией на одной или двух челюстях. Технология несколько раз усовершенствовалась и на сегодняшний день идеально отлажена, конструкция адаптирована с поправками на индивидуальное строение челюсти пациента и особенности его текущего состояния здоровья. Поэтому технология «All on 4» - это возможность для многих людей реконструировать зубной ряд после удаления зубов в короткие сроки, с наименьшими тратами.
Основа методики – внедрение в костные ткани имплантов в следующем порядке: два прямых стержня и два под углом, при этом передние ставятся на жевательные зубы, а прямые на место резцов.
Протезная конструкция устроена так, что нагрузка равномерно распределяется на весь зубной ряд, поддерживаемый точками опоры.
Методика хороша еще и тем, что применяется даже в случаях, когда кость начала атрофироваться и дошла от начального уровня к среднему. Соприкасаясь с костной тканью на большей площади, протезы держатся прочно, долг служат, и за счет немедленно нагрузки на зубы, не требуют никаких переходных периодов для использования, за исключением момента установки. Период реабилитации при одномоментной имплантации зубов минимален, пациент получает возможность быстро вернуться к полноценному жеванию.
Какие методики используются в рамках «All on 4»
All on 4 ROOTT
- Возможность устанавливать точки опоры на местах, где кость наименее плотная и годная для закрепления искусственного корня, а не только места по протоколу.
- Используются импланты односоставные на гнущихся цементируемых абатментах
- импланты-мультиюнит на винтовых креплениях.
- Протез устанавливается на третий день, когда спадает отек и начинается процесс заживления десны.
- Когда костная ткань истончилась умеренно или более выраженно. Нет противопоказаний для курильщиков, больных пародонтитом, сахарном диабетом, иммунными заболеваниями.
- Отсутствие титановой дуги в основании облегчает конструкцию, но не дает той прочности, и оставляет возможности для расшатывания протеза.
All on 4 NOBEL
- Место установки имплантата определяется точно по протоколу.
- Двусоставные импланты, не дают 100%й гарантии безопасности для проходящих рядом крупных кровеносных сосудов.
- Моментальная нагрузка на протез после классической имплантации зубов может затруднять заживление швов на деснах.
- Если костная ткань истончилась в небольшой степени.
- Конструкция после установки становится монолитной, ее обеспечивает титановая дуга, закрепленная в базисе. На кость идет равномерная нагрузка.
Преимущества и недостатки процедуры ALL ON 4
Преимущества:
- Протокол одномоментной имплантации зубов предусматривает быструю нагрузку протезами и коронками с первичной стабильностью, быстрой остеоинтеграцией и установке зубов при некоторых патологиях.
- Конструкция фиксируется надежно, не требует снятия перед сном, повышенной гигиены во время хранения, как у съемных протезов.
- Установка имплантов по методикам, исключающим травматизм, с минимальными рассечениями десны, малоинвазивными методами.
- По сравнению с полной имплантацией эта методика несъемных протезов менее дорогая.
- Можно переходить к привычному образу жизни почти сразу после адаптации, не дожидаясь установки постоянного протеза.
- Минимальный список противопоказаний.
- В итоге пациент быстро получает эстетичные зубные ряды и прекрасную улыбку.
Минусы All on 4
Минусами этой методики могут являться только высокая стоимость классической имплантации зубов и в некоторых случаях, недостаточное количество зубов на ряду – в методике «Все на 4» предусмотрено всего 10 зубов.
Ограничения по количеству зубов устраняются увеличением базы – это относится к методике «Все на 6».
Показания и противопоказания
Для использования зубов есть показания и противопоказания.
Методика «All on 4» применяется в случаях:
- Полное отсутствие зубов на верхней, нижней, или обеих челюстей.
- Частичное отсутствие зубов, когда ставшиеся подлежат удалению.
- Необходимость в эстетичных зубных рядах, потребность в красивой улыбке с наименьшим уходом.
- Зубы подлежат удалению, и пациент остается с нереализованной жевательной функцией.
- Нежелание, или отсутствие возможности для съемного протезирования после удаления зубов.
Необходимо учитывать следующие противопоказания:
- Абсолютные: Несвертываемость крови, онкология, сахарный диабет в тяжелой форме, психиатрические отклонения.
- Относительные – те, которые могут быть устранены: заболевания сердца и сосудов, беременность, воспаление десен.
Этапы лечения зубов по протоколу «Все на 4-х»
На первом этапе врач собирает информацию для диагностики. Выполняются сними – рентген, КТ.
Определяется вид протеза.
Далее врач составляет план лечения зубов, который включает привязку по срокам следующих этапов:
- Определение бренда, марки и вида материалов для протезирования и имплантации.
- Расчет стоимости имплантации.
- Изготовление слепков челюсти.
- Создание фотопротокола моделирования имплантации зубов All on 4.
- Выбор анестезии.
- Установка имплантов.
- На 2-3-й день по показаниям – установка и закрепление временного протеза на период адаптации.
- Этап корректировки прикуса.
На последнем этапе изготавливается и устанавливается постоянный протез. Выбор материалов – по желанию клиента.
Как ухаживать за зубами после имплантации All on 4
Рекомендации по уходу за зубами озвучит стоматолог после установки протеза. Важно не пренебрегать этими процедурами и правилами, чтобы заживление проходило быстро, по плану лечения зубов. От этого завит и долговременность эксплуатации протеза.
- Пища после установки имплантатов должна быть мягкой до тех пор, пока не пройдут все моменты дискомфорта, чтобы не увеличивалась нагрузка на челюсти после вмешательства до их заживления. К обычной диете следует возвращаться медленно и постепенно.
- Для контроля состояния имплантов необходимо приходить на плановые осмотры, врач назначит время, удобное вам.
- На время заживления лучше отказаться от курения и алкоголя, чтобы процесс интеграции происходил по плану без задержек и негативного влияния.
Основные вопросы и ответы по протезированию на 4 имплантах
Чем методика протезирования на 4-х имплантах превосходит аналогичные?
В верхней челюсти преимуществ больше. Пациент получает красивую улыбку, восстанавливает жевательные функции, и тем самым останавливает дальнейшую атрофию костной ткани. Функциональность челюсти полностью восстанавливается, жевание пищи теперь не составляет труда. И прекрасный бонус верхней челюсти All on 4 – восстановление красивой улыбки, которую можно ежедневно и ежеминутно предъявлять миру! Во многих случаях восстановление зубов на 4 имплантах – несъемные протезы с пожизненной гарантией!
Нужен ли контроль стоматолога после лечения?
Желательно показываться врачу для профилактики осложнений регулярно как минимум один раз в 6 месяцев. Преимущества современной цифровой связи – возможность проводить профилактические осмотры по видеосвязи, чтобы экономить время. Особенно это подходит людям, которые не имеют возможности приезжать часто и тратить время на дорогу. По видеосвязи можно получить рекомендации по уходу за зубами, консультацию по процедуре, даже оценить состояние полости рта.
Какая цена установки несъемного верхнего протеза в клинике?
Существует несколько вариантов материалов, которые используются при имплантации зубов и коронок несъемного протеза. Ценообразование протезирования представляет собой совокупность стоимости услуг, материалов и количества процедур. Выбор материалов проводится по рекомендации врача, но с учетом пожеланий пациента. Стоимость выбранного материала и расчет стоимости услуг вы можете запросить на первой консультации.
Какие рекомендации сразу после имплантации зубов?
Рекомендации врача выполнять обязательно. В первые дни после установки имплантов «Все на 4» не рекомендуется заниматься спортом, принимать пищу в горячем виде. Нельзя грызть твердые продукты и предметы. Несколько дней после имплантации зубов пациенты принимают противовоспалительные препараты.
На чем основано протезирование на четырех имплантах?
Если у человека полное отсутствие зубов на верхней или нижней челюсти, нет необходимости устанавливать тяжелые и сложные для привыкания и эксплуатации съемные вставные челюсти. Также необязательно устанавливать все зубы в качестве имплантов – это дорого, сложно и тяжело переносится. Процедура «Все на 4-х» поможет восстановить зубной ряд, с помощью всего 4-х опор на верхней или на нижней челюсти, избегая процедуры по наращиванию кости.
В рамках хирургического этапа устанавливают два импланта на передних зубах, и два на коренных. В итоге получают хорошую основу для крепления протеза. Для установки несъемного протеза не нужно ждать заживления – буквально через три дня, как только десна начнет заживать и уйдут отеки, устанавливается ременный протез – новая челюсть, которая выполняет все функции настоящих зубов. Через некоторое время после имплантации зубов, всегда рассчитываемое индивидуально, протез заменяется постоянным.
Проводя имплантацию по методу All-on-4, мы дарим нашим пациентам новую жизнь – со здоровыми и красивыми зубами, эстетичной улыбкой. Запишитесь на прием на удобное время и оцените свои шансы на преображение!
Отзывы наших пациентов:
Ткаченко Никита Васильевич - блестящий специалист!!! Мастер высочайшего класса!


группа Вконтакте
канал в Телеграм








Семейная клиника
Клиника интегративной стоматологии