Ежедневно с 8:00 до 21:00

+7 (495) 151-05-51

ул. Лётная, 21/1

+7 (495) 989-72-72

ул Ак. Каргина, 21

+7 (495) 104-42-00

Отдел качества

+7 (495) 801-68-68

Общий телефон

+7 (495) 151-05-51

ул. Лётная, 21/1

+7 (495) 989-72-72

ул Ак. Каргина, 21

+7 (495) 104-42-00

Отдел качества

Ежедневно с 8:00 до 21:00

Взрослая стоматология
+7 (495) 801-68-68

Общий телефон

+7 (495) 151-05-51

ул. Лётная, 21/1

+7 (495) 989-72-72

ул Ак. Каргина, 21

+7 (495) 104-42-00

Отдел качества

Взрослая стоматология

Ортопед

Ткаченко Никита Васильевич

  • Специалист по сложной эстетической и функциональной реабилитации
  • Эксперт по  протезированию в концепции all on 4, all on 6. 
  • Эстетическая реконструкция улыбки.
Ткаченко Никита Васильевич
Никита Васильевич - опытный ведущий стоматолог-ортопед медицинского центра с более чем 20-летним стажем работы. Он обладает глубокими знаниями в области стоматологии и широким спектром навыков, позволяющих ему осуществлять как терапевтическое, так и хирургическое вмешательство.

Доктор специализируется на выполнении всех видов ортопедических конструкций, применяет современные методы протезирования и владеет методикой препарирования зубов под микроскопом, что дает возможность обеспечить пациентам высококачественное стоматологическое лечение.

Никита Васильевич отличается широким клиническим мышлением, что позволяет ему рассматривать проблему пациента комплексно. Его ""легкая"" рука и деликатный подход к работе делают приемы максимально комфортными для пациентов. Некоторые из них чувствуют себя настолько комфортно, что практически спят во время процедур.

Вы можете быть уверены в профессионализме и заботе доктора - его опыт, широкие знания и внимание к деталям делают его одним из лучших специалистов в области стоматологии и ортопедии.

Стаж работы

23 года

Принимает клиниках

  • пр. Космонавтов, 11
  • ул. Лëтная, 21/1
  • Клиника в г. Щелково

Специализация

  • Ортопед

Сертификаты

405
406

Отзывы по врачу

Читать все отзывы

Врач: Ткаченко Никита Васильевич

Внимательный, благожелательный персонал. Девушки очень чуткие. Спасибо!

Ткаченко Никита Васильевич - блестящий специалист!!! Мастер высочайшего класса!
...
Внимательный, благожелательный персонал. Девушки очень чуткие. Спасибо!<br>
Ткаченко Никита Васильевич - блестящий специалист!!! Мастер высочайшего класса!<br>
Показать весь отзыв

Врач: Ткаченко Никита Васильевич

Работа, проделанная врачом ортопедом Ткаченко Никитой Васильевичем по комплексному восстановлению зубов в зоне улыбки с помощью виниров была большой по объему и очень сложной. Причём, сделана она была менее чем за месяц (другие  клиники...
Работа, проделанная врачом ортопедом Ткаченко Никитой Васильевичем по комплексному восстановлению зубов в зоне улыбки с помощью виниров была большой по объему и очень сложной. Причём, сделана она была менее чем за месяц (другие  клиники в эти сроки выполнить такой объём не могли). Никита Васильевич взялся за меня и мы нашли взаимопонимание. Ведь для врача важно услышать и понять запрос пациента, совместить воедино косметические пожелания и медицинские показания, нужно иметь терпение для объяснения того, что невозможно или не рекомендуется, уметь выполнять свою работу по много часов без перерыва и несколько дней. Все эти качества есть у Никиты Васильевича. В результате - отличный результат!
Хотел бы также поблагодарить за проделанную работу весь медицинский персонал и руководство клиники Интердентос в Щелково. Дополнительно скажу, что мне была сделана ощутимая скидка на стоимость услуг клиники (как практикующему врачу), и сейчас в процессе оформления карта лояльности от клиники для меня и моей семьи. Спасибо ещё раз!
Показать весь отзыв

Врач: Ткаченко Никита Васильевич

Выражаю огромную благодарность всему коллективу клиники ИНТЕРДЕНТОС!

Я страдала очень сильной стираемостью зубов и все зубы уже были в пломбах...
После многочисленных консультаций было принято решение о полном протезировании.
...
Выражаю огромную благодарность всему коллективу клиники ИНТЕРДЕНТОС!

Я страдала очень сильной стираемостью зубов и все зубы уже были в пломбах...
После многочисленных консультаций было принято решение о полном протезировании.

Спасибо Лобачёвой Марии Сергеевне!
Провела качественное лечение под микроскопом и спасла зуб от удаления.

Спасибо Макухе Василию Александровичу!
Произвел безболезненное одномоментное удаление двух зубов и установку имплантов. Благодаря качественно проделанной работе, все быстро зажило и импланты прижились без каких-либо осложнений.

Спасибо Ткаченко Никите Васильевичу за безукоризненную работу! Подготовил все зубки не спиливая лишнего, зубы остались живыми. Очень внимательно и качественно делал все слепки, установил коронки и виниры. Объяснял все нюансы,  доходчиво доносил информацию. При необходимости жертвовал своим личным временем выходя на дополнительную смену.

Также огромное спасибо медсестрам, благодаря им работа идет быстрее и легче!

И огромная благодарность административному персоналу! Помогли оформить скидку, всегда оставались на связи и шли навстречу когда надо было подобрать более удобное время или что-то изменить.

Лечимся там всей семьей и очень довольны, что выбрали данную клинику! Атмосфера в клинике всегда очень дружелюбная и самое важное работают НАСТОЯЩИЕ ПРОФЕССИОНАЛЫ СВОЕГО ДЕЛА!
Удачи Вам!
Показать весь отзыв

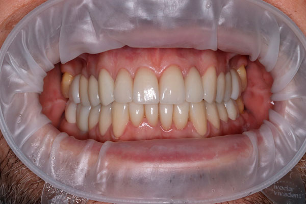
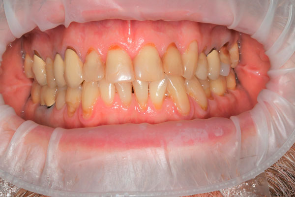
Работы врача

Фото ДО
Фото ПОСЛЕ

Наведите для просмотра

Тотальное протезирование верхней и нижней челюсти

Клиники, в которых принимает специалист

Клиника «Эксперт»

Клиника Интегративной Стоматологии

Клиника в г. Щелково

Консилиум врачей в подарок Получить подарок