Ежедневно с 8:00 до 21:00

+7 (495) 151-05-51

ул. Лётная, 21/1

+7 (495) 989-72-72

ул Ак. Каргина, 21

+7 (495) 104-42-00

Отдел качества

+7 (495) 801-68-68

Общий телефон

+7 (495) 151-05-51

ул. Лётная, 21/1

+7 (495) 989-72-72

ул Ак. Каргина, 21

+7 (495) 104-42-00

Отдел качества

Ежедневно с 8:00 до 21:00

Взрослая стоматология
+7 (495) 801-68-68

Общий телефон

+7 (495) 151-05-51

ул. Лётная, 21/1

+7 (495) 989-72-72

ул Ак. Каргина, 21

+7 (495) 104-42-00

Отдел качества

Взрослая стоматология

Стоматолог

Васина Алия Зинатуллаевна

  • Работает только с увеличением (микроскоп), по современным протоколам
  • Контроль и лечение начального кариеса без препарирования (технология ICON).
  • Специалист по эстетическим реставрациям зубов.
Васина Алия Зинатуллаевна
Алия Зинатуллаевна - врач-стоматолог медицинского центра. Свыше 30 лет она посвятила работе в сфере стоматологии. 

Доктор специализируется на проведении приемов как детей, так и взрослых. Она владеет передовыми технологиями в лечении и реставрации зубов, и ее опыт позволяет успешно решать широкий спектр проблем стоматологического характера, включая лечение сложных случаев, восстановление зубов и перелечивание каналов.

Особенно ценится способность доктора легко находить подход ко всем детям, включая тех, кто испытывал страх перед стоматологами. Ее выдержка, забота и доброжелательное отношение помогают создать доверительную обстановку, что играет важную роль в успешном лечении и предоставлении качественной стоматологической помощи.

Пациенты особо выделяют скорость и качество работы доктора. Ее умение эффективно и внимательно проводить процедуры лечения, сохраняя высокий уровень качества, делает ее семейным врачом с высоким процентом рекомендаций. Ее профессионализм, тепло и забота делают ее незаменимым специалистом среди различных категорий пациентов.

Стаж работы

32

Принимает клиниках

  • Клиника в г. Мытищи, ул. Ак.Каргина

Специализация

  • Стоматолог

Сертификаты

1575
1576
1577

Отзывы по врачу

Читать все отзывы

Врач: Васина Алия Зинатуллаевна

Бесконечная благодарность врачу А.З. Васиной за профессионализм!

Врач: Васина Алия Зинатуллаевна

Пришли с ребёнком (5 лет) на удаление молочного зуба с периодонтитом. У ребёнка был негативный опыт посещения стоматологий. Но Алия Зинатуллаевна врач от Бога. Все прошло быстро и максимально комфортно. Ребёнок сказал, что пойдёт лечить и ост...
Пришли с ребёнком (5 лет) на удаление молочного зуба с периодонтитом. У ребёнка был негативный опыт посещения стоматологий. Но Алия Зинатуллаевна врач от Бога. Все прошло быстро и максимально комфортно. Ребёнок сказал, что пойдёт лечить и оставшиеся зубки. Ещё раз благодарим!
Показать весь отзыв

Врач: Васина Алия Зинатуллаевна

Хочу выразить благодарность врачу Васиной А.З. за полную консультацию и профессиональный подход к моему ребенку Софье. Мы провели 2 удаления без боли и стресса для Софьи, будем лечить остальные зубы по плану, назначенному врачом!...
Хочу выразить благодарность врачу Васиной А.З. за полную консультацию и профессиональный подход к моему ребенку Софье. Мы провели 2 удаления без боли и стресса для Софьи, будем лечить остальные зубы по плану, назначенному врачом!
Показать весь отзыв

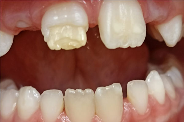
Работы врача

Фото ДО
Фото ПОСЛЕ

Наведите для просмотра

Реставрация фронтальной группы зубов

Фото ДО
Фото ПОСЛЕ

Наведите для просмотра

Лечение кариеса

Фото ДО
Фото ПОСЛЕ

Наведите для просмотра

Коронки на передние молочные зубы

Фото ДО
Фото ПОСЛЕ

Наведите для просмотра

Реставрация молочных зубов

Фото ДО
Фото ПОСЛЕ

Наведите для просмотра

Профессиональная гигиена молочных зубов

Фото ДО
Фото ПОСЛЕ

Наведите для просмотра

Лечение глубокого кариеса

Фото ДО
Фото ПОСЛЕ

Наведите для просмотра

Эстетическая реставрация молочных зубов

Фото ДО
Фото ПОСЛЕ

Наведите для просмотра

Реставрация молочных зубов

Клиники, в которых принимает специалист

Клиника в г. Мытищи, ул. Ак.Каргина

Консилиум врачей в подарок Получить подарок